Fațete dentare – Tipuri, avantaje, etape și costuri

Mici modificări de culoare, forme ușor inegale sau fisuri fine pot influența aspectul zâmbetului, chiar dacă dinții sunt sănătoși. În astfel de cazuri, fațetele dentare reprezintă o soluție minim invazivă pentru corectarea estetică a dinților anteriori.

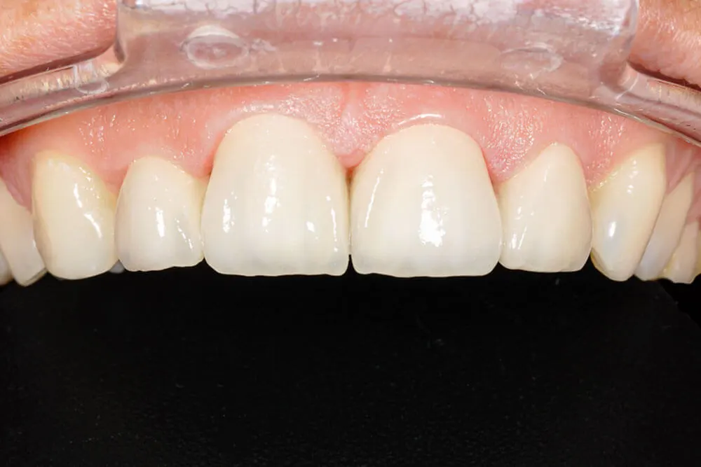
Fațetele dentare sunt pelicule subțiri din ceramică sau zirconiu, aplicate pe suprafața vizibilă a dintelui pentru a uniformiza culoarea, forma sau alinierea. Procedura nu presupune devitalizarea dinților și urmărește păstrarea cât mai mult din țesutul natural.

La LLL Dental, fiecare fațetă este proiectată digital și realizată în laboratorul propriu, pentru o adaptare controlată și o integrare armonioasă în zâmbet.

Ce sunt fațetele dentare și când sunt recomandate?

Prin fațetele dentare se pot corecta defecte de culoare, formă sau dimensiune ale dinților fără a apela la tratamente complexe. Scopul lor este să restabilească proporțiile și armonia zâmbetului, păstrând cât mai mult din structura naturală.

Ele se recomandă atunci când dinții sunt sănătoși, dar aspectul lor te nemulțumește:

  • ai colorații persistente sau pete care nu dispar prin albire;
  • unii dinți sunt ușor ciobiți, scurți sau inegali;
  • există spații mici între dinți;
  • forma sau poziția lor creează un dezechilibru vizual în zâmbet;
  • smalțul s-a tocit ușor odată cu timpul, deși dintele rămâne vital.
Vezi când recomandăm fațetele dentare la Clinica LLL Dental
Vezi video
Video

Vezi când recomandăm fațetele dentare la Clinica LLL Dental

Urmărește video-ul și află în ce situații fațetele dentare sunt soluția ideală pentru estetica zâmbetului tău. Descoperă cum putem corecta forma, poziția și culoarea dinților, păstrând în același timp un aspect natural și armonios.

Când nu se recomandă fațete dentare?

În schimb, fațetele nu sunt o opțiune potrivită dacă există carii extinse, dinți fisurați profund, retracții gingivale sau bruxism activ. În aceste cazuri, medicul va recomanda alte soluții de reabilitare, cum ar fi coroanele dentare sau tratamente ortodontice.

Fațetele dentare sunt contraindicate și în următoarele situații:

  • obturații voluminoase care afectează integritatea dintelui;
  • dinți devitalizați (fără nerv), pentru care sunt mai potrivite coroanele dentare;
  • anomalii de formă sau structură ale dinților;
  • parodontoză sau retracții gingivale accentuate;
  • dinți slăbiți sau mobilitate dentară.

În aceste cazuri, prioritatea este tratarea afecțiunilor dentare și stabilizarea țesuturilor, înainte de realizarea oricărei lucrări estetice.

Tipuri de fațete dentare – cum alegi varianta potrivită?

Tipuri de fațete dentare – cum alegi varianta potrivită?

Fațetele dentare pot fi realizate din ceramică, compozit sau zirconiu, iar alegerea materialului potrivit se face în funcție de obiectivul estetic, starea dinților și nevoia de rezistență în timp. Decizia finală se ia împreună cu medicul, după o evaluare completă.

Fațetele dentare din compozit

Fațetele dentare din compozit se aplică direct în cabinet, într-o singură ședință. Materialul este modelat manual pe dinte, ceea ce permite corectarea rapidă a imperfecțiunilor ușoare de culoare, formă sau spațiere. Sunt o soluție rapidă, mai puțin rezistentă, pe termen scurt.

Pot necesita lustruire sau înlocuire în timp, deoarece compozitul este mai sensibil la colorații și uzură. De aceea, la LLL Dental nu recomandăm fațetele din compozit decât în cazuri foarte rare pentru termen scurt, în urgențe fizionomice.

 

Fațetele dentare ceramice

Sunt fabricate în laboratorul dentar, după o planificare digitală precisă. Cele feldspatice sunt foarte fine și translucide, oferind un aspect natural, potrivit cazurilor estetice delicate. Fațetele dentare e.max, realizate din ceramică presată, combină estetica cu durabilitatea și sunt preferate pentru reabilitări complete sau pentru pacienții care doresc un zâmbet uniform și luminos, fiind campioanele esteticii și naturaleții, perfecte pentru zona frontală.

 

Fațetele dentare din zirconiu

Fațetele din zirconiu sunt recomandate atunci când dinții necesită o rezistență suplimentară, de exemplu, în cazul unor dinți mai închiși la culoare sau a unor lucrări protetice existente. Zirconiul este un material ceramic foarte dur, mai opac decât e.max-ul, dar care prezintă stabilitate și uniformitate în timp.

 

Pentru a afla ce tip de fațete ți se potrivește, programează o consultație digitală cu unul dintre medicii noștri.

Vezi ce tipuri de fațete dentare folosim la Clinica LLL Dental
Vezi video
Video

Vezi ce tipuri de fațete dentare folosim la Clinica LLL Dental

Urmărește video-ul și află care sunt diferențele dintre principalele tipuri de fațete. Îți explicăm avantajele fiecărui material (ceramică, compozit, zirconiu), ca să înțelegi care este varianta potrivită pentru estetica și bugetul tău.

Cazuri clinice LLL Dental

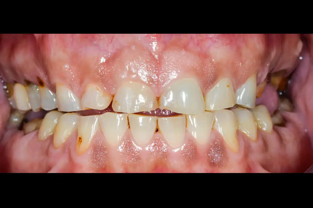
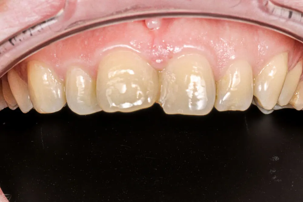
fatete zirconiu before
before
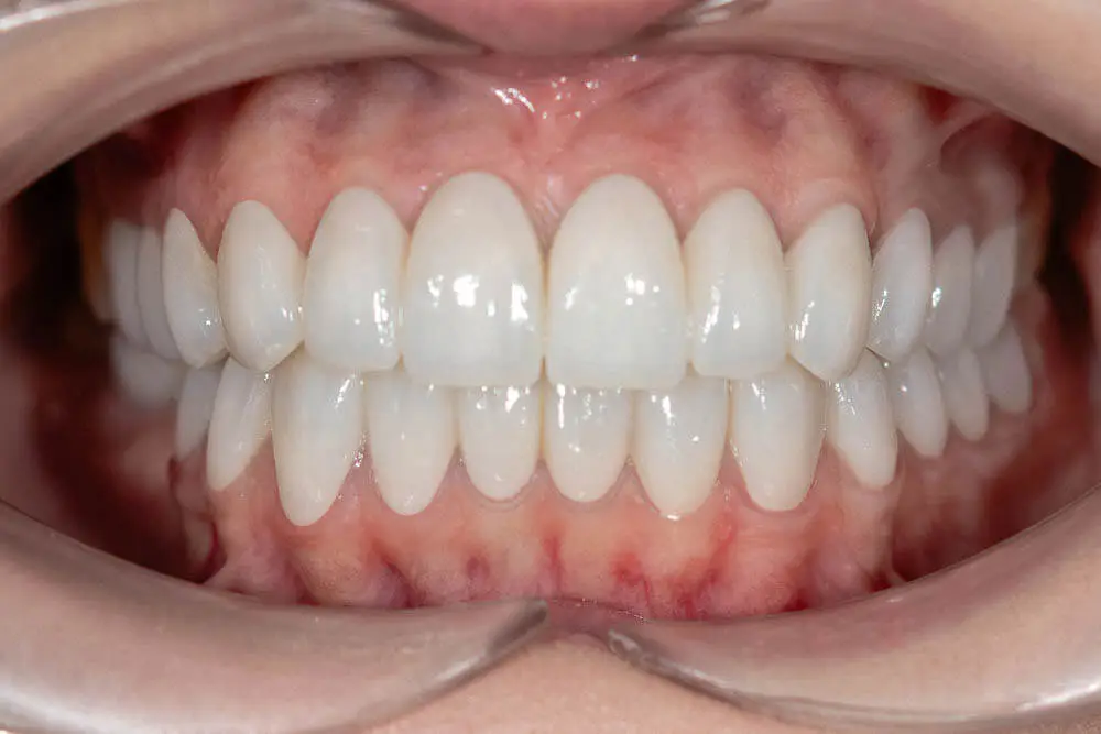
fatete zirconiu after
after
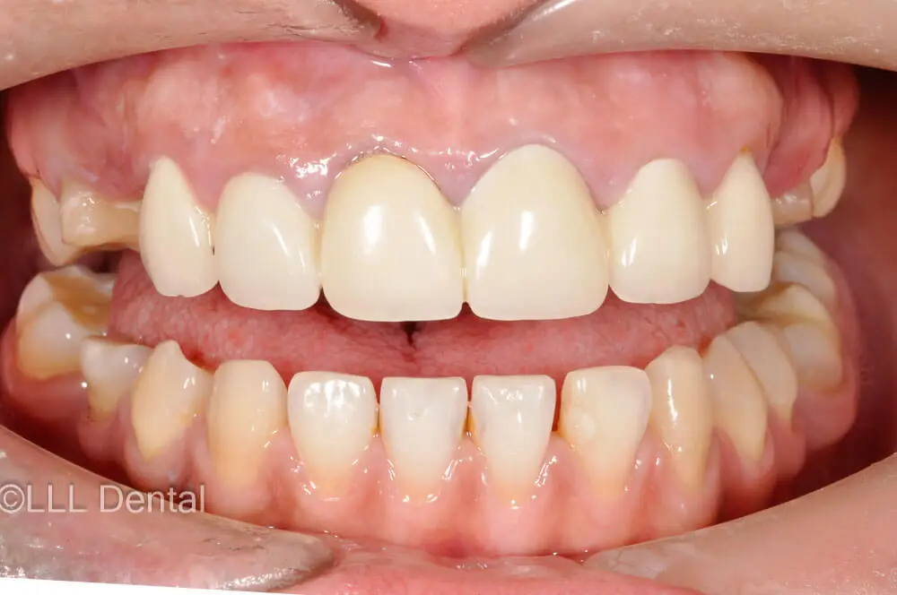
FATETE HOLYWOOD FRONT SI PUNTI ZR LATERALE BEFORE
before
FATETE HOLYWOOD FRONT SI PUNTI ZR LATERALE AFTER
after
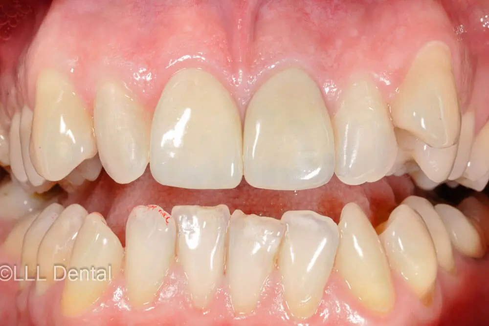
FATETE NO PREP BEFORE
before
FATETE NO PREP AFTER
after
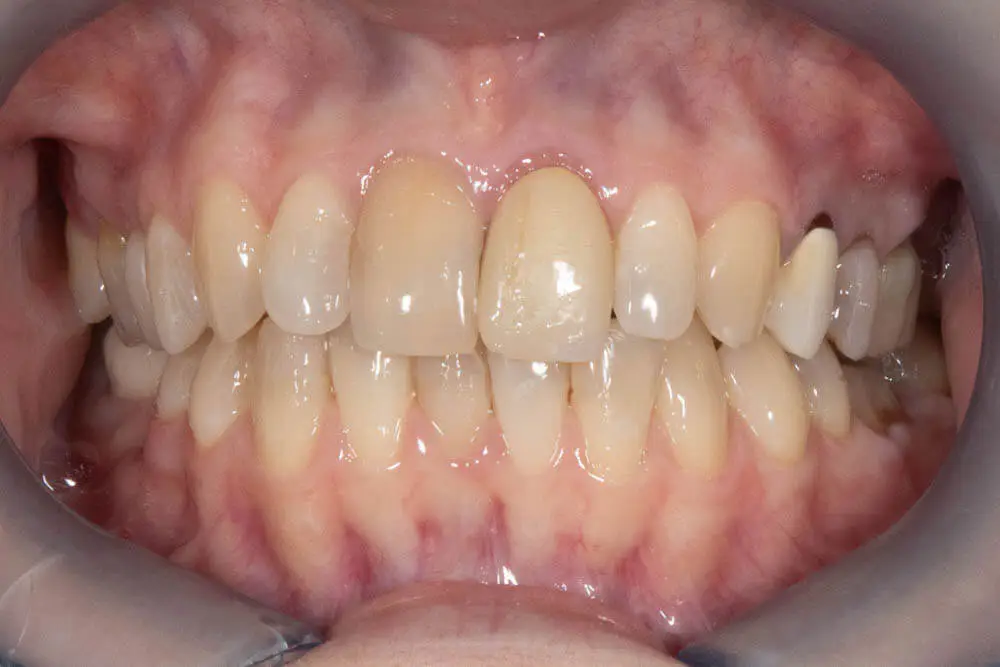
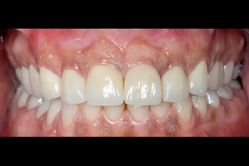
fatete-EMAX-before
before
fatete-EMAX-after
after
fatete-EMAX-before
before
fatete EMAX after
after
fatete EMAX before
before
fatete EMAX after
after
FATETE HOLYWOOD AFTER
before
FATETE HOLYWOOD BEFORE
after
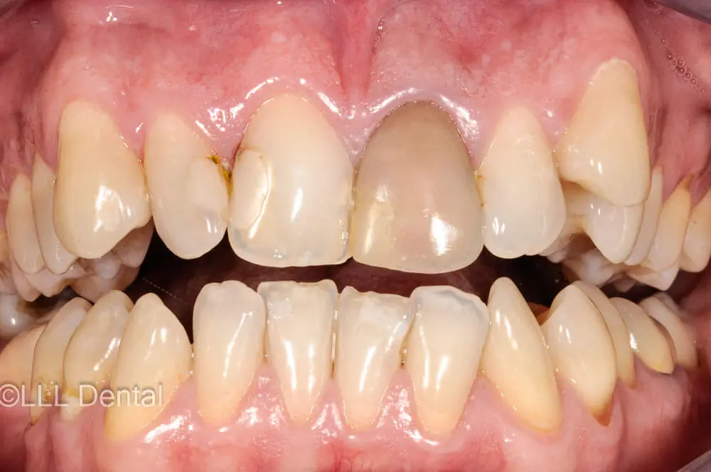
FATETE EMAX NATURAL Before
before
FATETE EMAX NATURAL before
after
fatete zirconiu before
before
fatete zirconiu after
after
FATETE-EMAX-before
before
FATETE-EMAX-after
after
fatete-zirconiu-before
before
fatete-zirconiu-after
after
fatete ziconiu before
before
fatete zirconiu after
after

Avantaje și limite ale fațetelor dentare

Cum te poate avantaja un tratament cu fațete dentare?

  • Creează un rezultat natural: suprafața ceramică imită transluciditatea și luciul smalțului.
  • Rezistă la pete și colorații datorită materialelor ceramice stabile și netede.
  • Nu necesită proceduri speciale de îngrijire, însă igiena orală riguroasă (periaj, ață dentară, apă de gură) și igienizările profesionale periodice rămân esențiale.
  • Conform studiilor, fațetele dentare au, în general, o durată de viață medie de 10 – 15 ani.

Aplicarea lor implică o modificare redusă a smalțului, fără a afecta nervul sau structura de rezistență a dintelui.

Există, însă, și limitări în aplicarea fațetelor dentare.

  • În majoritatea cazurilor, prepararea este minim invazivă, însă nu reversibilă. Odată aplicate fațetele, nu se mai poate reveni la starea inițială a dintelui.
  • Nu sunt potrivite pentru dinți afectați structural, cu carii extinse sau obturații mari.
  • Pot fi vulnerabile la forțe mari de masticație sau la obiceiuri precum scrâșnitul dinților.
  • În caz de fractură, fațetele ceramice nu se pot repara, ci se înlocuiesc complet

Cum se aplică fațetele dentare? Etape

Procedura se desfășoară în câteva etape simple și minim invazive.

1
Consultație & scanare

Consultație inițială și fotografii digitale si scanarea dinților.

2
Simulare digitală

Simularea digitală a zâmbetului cu ajutorul sitemului DSD – Digital Smile Design. În această etapă vei vedea în avans cum vor arăta fațetele și poți participa direct la alegerea formei și culorii, chiar înainte de a începe tratamentul.

3
Preparare minim invazivă

Prepararea minim invazivă, delicată a dinților și scanarea dinților preparați.

4
Design & frezare CAD/CAM

Transmiterea datelor în laboratorul nostru de tehnică dentară, unde fațetele sunt realizate folosind tehnologia CAD/CAM – proiectare digitală și frezare computerizată – pentru precizie maximă și adaptarea perfectă a fațetelor.

5
Proba cu fațete provizorii

Proba cu fațete provizorii. Un pas extrem de apreciat de pacienți este așa-numitul „test-drive al zâmbetului”. Cu fațetele provizorii, puteți simți și vedea cum va fi zâmbetul final: cum arată, cum se simt când mâncați sau vorbiți. Este momentul în care zâmbetul dorit devine realitate, iar pacientul participă activ la alegerea rezultatului final.

6
Realizare finală

Realizarea fațetelor definitive în laboratorul nostru de tehnică dentară cu tehnologia CAD-CAM.

7
Cimentare finală

Cimentarea definitivă a fațetelor în cabinet.

 

Te poți programa pentru o simulare digitală a zâmbetului, astfel încât să vezi orientativ cum pot arăta fațetele înainte de tratament.

Rezultatul este un zâmbet frumos, natural și armonios, realizat pe baza unei planificări digitale complete și adaptat fizionomiei și personalității.

Cât costă fațetele dentare?

Prețul tratamentului cu fațete dentare diferă în funcție de mai mulți factori medicali și tehnici. Materialul ales (ceramică e.max, zirconiu sau compozit), numărul de dinți incluși și complexitatea cazului influențează durata, etapele de lucru și costul final.

Când se dorește o reabilitare completă, prețul fațetelor dentare pentru toată gura depinde de numărul total de fațete (ambele arcade) și de tipul materialului folosit pentru lucrarea finală.

Costurile sunt stabilite transparent, în urma evaluării clinice și a planului personalizat. În acest mod, știi exact ce implică tratamentul și ce rezultate poți obține.

În tabel regăsești prețul fațetelor dentare în funcție de tip și material.

Prețuri lucrări dentare

Coroana metaloceramica GC1.500 RON
Coroana zirconiu2000 RON
Coroana ceramica integrala IPS e.max®2000 RON
Coroana ceramica pe suport de zirconiu2000 RON
Coroana zirconiu pe implant2.200 RON
Coroana ceramica integrala IPS e.max® pe implant2.200 RON
Coroana ceramica pe suport de zirconiu pe implant2.200 RON
Coroana metaloceramica GC pe implant1.800 RON
Coroana hybrid zirconiu/titan pe implant2.900 RON
Coroana hybrid zirconiu/titan2.400 RON
Coroana provizorie in cabinet150 RON
Coroana provizorie PMMA CAD-CAM400 RON
Coroana provizorie PMMA CAD-CAM pe implant500 RON
Coroana provizorie metalo-ceramica800 RON
Fateta dentara IPS e.max® Ceram (High Esthetics)2.200 RON
Fateta dentara zirconiu (High Esthetics)2.200 RON
Fateta provizorie150 RON
Pivot zirconiu CAD-CAM1000 RON
Pivot metalic500 RON
Pivot fibra de sticla (tip Cytec)450 RON
RB/WB Variobase® Straumann800 RON
RB/WB Screw-retained Abutment Straumann1000 RON
Baza de Titan ZrGen Megagen800 RON
Bont Rc Base Megagen1000 RON
Baza de Titan JD Evolution+750 RON
Bont Multi Unit JD Evolution+750 RON
Bont personalizat zirconiu pe implant1.000 RON
Bont personalizat titan pe implant1.000 RON
Incrustatie IPS e.max® Ceram (High Esthetics)1.600 RON
Incrustatie zirconiu (High Esthetics)1.600 RON
Ablatie (indepartare) lucrare veche (pe stalp)300 RON
Ablatie (indepartare) pivot metalic500 RON
Ablatie (indepartare) pivot dentatus250 RON
Ablatie (indepartare) pivot fibra de sticla300 RON
Proteza acrilica4.000 RON
Proteza scheletata cu sisteme speciale de prindere ( capse, culise etc. )8.000 RON
Proteza scheletata cu sisteme speciale de prindere ( capse, culise etc. ) pe implant12.000 RON
Reparatie proteza500 RON
Cimentare periodica (pe fiecare dinte stalp)150 RON
Cimentare definitiva (pe fiecare dinte stalp)200 RON
Cimentare definitiva capa lucrare pe implant insurubata200 RON
Gutiera bruxism350 RON

Prețuri Tratament fatețe dentare ,,HIGH ESTHETICS SMILE”

Pachet 8 fatete ,,HIGH ESTHETICS SMILE 8”

INCLUDE:  Consultatie medic specialist, Diagnostic estetic digital, Model de studiu, Fotografii de diagnostic, Scanare si masuratori,Smile teaser (Imaginea virtuala a viitoarelor fatete suprapusa peste zambetul dvs.), 8 fatete provizorii, 8 fatete E.max/zirconiu, Cimentare fatete, Finisare si poze analiza rezultat.
18900 RON
Pachet 10 fatete ,,HIGH ESTHETICS SMILE 10”

INCLUDE:  Consultatie medic specialist, Diagnostic estetic digital, Model de studiu, Fotografii de diagnostic, Scanare si masuratori, Smile teaser (Imaginea virtuala a viitoarelor fatete suprapusa peste zambetul dvs.), 10 fatete provizorii, 10 fatete E.max/zirconiu, Cimentare fatete, Finisare si poze analiza rezultat.
22900 RON
Pachet 16 fatete ,,HIGH ESTHETICS SMILE 16”

INCLUDE:  Consultatie medic specialist, Diagnostic estetic digital, Model de studiu, Fotografii de diagnostic, Scanare si masuratori, Smile teaser (Imaginea virtuala a viitoarelor fatete suprapusa peste zambetul dvs.),16 fatete provizorii,16 fatete E.max/zirconiu, Cimentare fatete, Finisare si poze analiza rezultat.
34900 RON
Pachet 20 fatete ,,HIGH ESTHETICS SMILE 20”

INCLUDE:  Consultatie medic specialist, Diagnostic estetic digital, Model de studiu, Fotografii de diagnostic, Scanare si masuratori, Smile teaser (Imaginea virtuala a viitoarelor fatete suprapusa peste zambetul dvs.),20 fatete provizorii, 20 fatete E.max/zirconiu, Cimentare fatete, Finisare si poze analiza rezultat.
42900 RON

Valoarea tratamentului cu fatete dentare variază și în funcție de complexitatea cazului. Prețul unei fațete ceramice este 2200 lei, dar costul este diferit pentru tratamentul grupat a 8, 10, 16, 20  de fațete. În cadrul consultației, la 3L Dental stabilim împreună detaliile ofertei și alegem soluția adaptată dorintei tale. Pentru ca visul tău să devină mai ușor realitate, există și opțiunea de plată în rate

 

👉  Costul exact al fațetelor dentare se stabilește doar după consultația de specialitate și după întocmirea unui plan de tratament personalizat.

clinica stomatologica in Bucuresti

De ce să-ți transformi zâmbetul cu fațete la LLL Dental?

Pentru că aici găsești:

  •  o echipă calificată, dinamică, dedicată reușitei tratamentului;
  • peste 30 de ani de experiență în estetică dentară;
  • tehnologie modernă și estetică ghidată digital (DSD, CAD/CAM);
  • implicarea maestrului tehnician în fazele esențiale, direct în cabinet;
  • materiale estetice, originale și validate în timp;
  • tratamente rapide și eficiente, esențiale pentru pacienții din țară, diaspora și pentru turismul medical dentar;
  • o experiență plăcută, fără durere și în condiții de siguranță;
  • și, foarte important, respectăm conceptul One Stop Dentistry – toate etapele, de la diagnostic la zâmbetul final, sunt realizate în clinica noastră.

Iar rezultatele? Sunt dovedite și urmărite pe termen lung.

Fațetele dentare sunt tratamente care necesită monitorizare clinică periodică, ceea ce ne permite să menținem stabilitatea și funcționalitatea lor în timp. Planificarea digitală și protocoalele utilizate în clinică contribuie la un parcurs controlat în majoritatea cazurilor.

Fațetele dentare sunt o soluție care îți poate transforma zâmbetul și viața, apropiindu-te de succes! Dacă îți dorești și pentru tine, sau doar vrei să vezi ce variantă ți se
potrivește, vino la o consultație personalizată!

Echipa multidisciplinară de medici LLL Dental

Dr. Manuela Lupascu

Dr. Manuela Lupaşcu

Detalii
dr. claudiu lupascu

Dr. Claudiu Lupaşcu

Detalii
Mihaela Lemnrău

Dr. Mihaela Lemnrău

Detalii
Teodora Damcalescu

Dr. Teodora Damcalescu

Detalii
dr haralambie vlas

Dr. Haralambie Vlas

Detalii
roxana gheorghe

Dr. Roxana Radocea

Detalii
magda ivanescu

Magdalena Ivanescu

Detalii
vedere de sus dentist cu fatete

Ce durată de viață au fațetele dentare?

Fațetele dentare au, în general, o durată de viață foarte bună [1], dacă sunt întreținute prin igienă zilnică și controale regulate, dar mai puțin îndelungată față de cea a coroanelor dentare. Materialele moderne, precum ceramica e.max sau zirconiul, oferă o rezistență crescută și o stabilitate foarte bună a culorii în timp.

Durabilitatea depinde și de obiceiurile vicioase. Le poți proteja evitând scrâșnitul dinților, alimentele foarte dure sau deschiderea recipientelor folosind dinții. Atenția constantă la igienă și vizitele periodice la medicul stomatolog pot prelungi semnificativ viața fațetelor dentare.

Cum se îngrijesc fațetele dentare?

Igiena se face la fel ca în cazul dinților naturali: periaj de două ori pe zi, folosirea aței dentare și a apei de gură, plus igienizări profesionale la fiecare șase luni.

Evită pasta de dinți cu particule abrazive, care poate matifia suprafața ceramicii, și ferește-te de alimentele crocante sau foarte dure, cum ar fi bomboanele tari, gheața sau nucile. Sunt sensibile la șocuri mecanice sau termice.

Dacă ai tendința de a scrâșni dinții în somn, medicul îți poate recomanda o gutieră de protecție. Cu o igienă corectă și controale regulate, fațetele își păstrează aspectul natural și luciul mulți ani la rând.

Dacă te gândești la un tratament cu fațete dentare, te invităm la LLL Dental pentru a afla care este varianta potrivită pentru tine.

Întrebări frecvente despre tratamentul cu fațete dentare

Ce sunt fațetele no-prep?

Fațetele no-prep sunt variante ultrasubțiri de fațete ceramice, care se aplică fără șlefuirea prealabilă a dintelui. Se folosesc doar în cazuri selectate, când dinții sunt bine aliniați și există suficient spațiu pentru aplicare fără a modifica structura naturală.

Când nu se pot pune fațete no-prep?

Acestea nu se recomandă dacă dinții sunt proeminenți, foarte colorați, malpoziționați sau au obturații mari. În astfel de situații, o preparație minimă este necesară pentru a obține un rezultat natural și stabil.

Câte fațete dentare să-mi pun?

Numărul de fațete diferă de la un pacient la altul. În unele cazuri, poate fi suficientă o singură fațetă, aplicată pentru a corecta forma, culoarea sau poziția unui dinte izolat. În alte situații, se recomandă 6–10 fațete pe arcadă, pentru a obține un zâmbet uniform și armonios.

Decizia se stabilește după analiza estetică digitală, astfel încât rezultatul final să se integreze firesc în fizionomia ta.

Trebuie șlefuiți dinții nanici înainte de a pune fațete?

De regulă, nu. Dinții mai mici decât media pot fi fațetați fără șlefuire, întrucât există spațiu suficient pentru aplicare. Medicul va decide acest lucru în funcție de proporțiile și poziția fiecărui dinte.

Care este diferența între fațete și coroane?

Fațetele acoperă doar fața vizibilă a dintelui și sunt o soluție estetică, cu intervenție minimă asupra smalțului. Coroanele dentare îmbracă întreaga suprafață a dintelui și se recomandă atunci când structura acestuia este afectată sau fragilă.

Dacă pun fațete, mai pot reveni la dinții mei naturali?

Nu! Aplicarea fațetelor presupune o șlefuire minimă a smalțului, iar această modificare este ireversibilă, pentru că smalțul nu se regenerează. Dacă o fațetă este îndepărtată, dintele rămâne viabil, dar ușor modificat ca formă și sensibilitate. Pe suprafața sa pot rămâne urme fine de adeziv, care se curăță și se lustruiesc în cabinet.

Fațetele se pot colora?

Materialele ceramice moderne, precum e.max sau zirconiu, nu se pigmentează și își păstrează luciul în timp. Totuși, dinții naturali din vecinătate pot suferi colorații, motiv pentru care este recomandată igiena riguroasă și limitarea consumului de alimente și băuturi intens pigmentate.

Fațetele dentare se pot dezlipi?

În cazuri rare, fațetele se pot dezlipi. În aceste situații, medicul poate recimenta fațeta, dacă aceasta este intactă. Dacă s-a fisurat sau s-a ciobit, se recomandă refacerea lucrării.

Fațetele dentare conduc la retragerea gingiilor?

Fațetele dentare nu sunt considerate o cauză directă a retracției gingivale. Sănătatea gingiilor depinde însă de igiena orală, de controlul plăcii bacteriene și de modul în care sunt întreținute lucrările în timp.

Fațetele se pot caria?

Fațetele în sine nu se cariază, însă dintele natural de dedesubt poate dezvolta carii dacă igiena orală este deficitară. De aceea, periajul corect, folosirea mijloacelor auxiliare și controalele regulate sunt esențiale.

Fă o programare
pentru fațete dentare la Clinica LLL Dental

Programează-te la Clinica LLL Dental

Te poți programa la 0728.320.700 sau completând unul dintre formulare:

consultatie dinti ficsi in 24 de ore
Prima oară la LLL?

Programează un consult inițial complet

  • evaluare integrală + plan de tratament – 200 RON
  • radiografii – 120 RON (doar dacă este cazul)
Programează-te la un specialist
Ai o problemă punctuală?

Programează-te la un specialist

Ne comunici problema, iar consilierul nostru te va îndruma către medicul potrivit și îți va da toate detaliile telefonic, înainte de programare.

Referințe:

[1] Alghazzawi, T. F. (2024). Clinical Survival Rate and Laboratory Failure of Dental Veneers: A Narrative Literature Review. Journal of Functional Biomaterials, 15(5), 131. https://doi.org/10.3390/jfb15050131

Nou pe blog