dinti ficsi

Dinți ficși în 24 ore: Preț și pași dantură fixă

Soluția definitivă dacă suferi de parodontoză sau ai dinți care nu mai pot fi salvați. La LLL Dental, îmbinăm 60 de ani de tradiție medicală cu tehnologia digitală pentru ca tu să pleci cu zâmbetul pe buze într-o singură zi.

  • Intervenție fără durere
  • Prețuri transparente și opțiune de plată în rate
  • Totul într-un singur loc: radiologie și laborator propriu

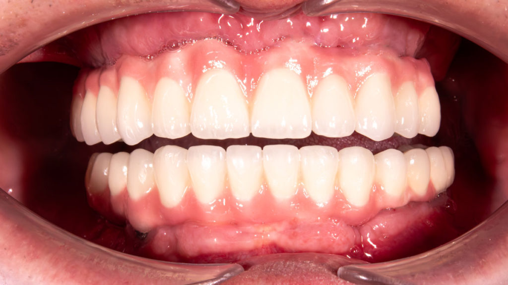
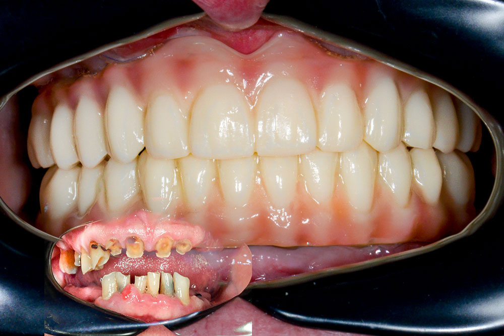
Cazuri Clinice LLL Dental

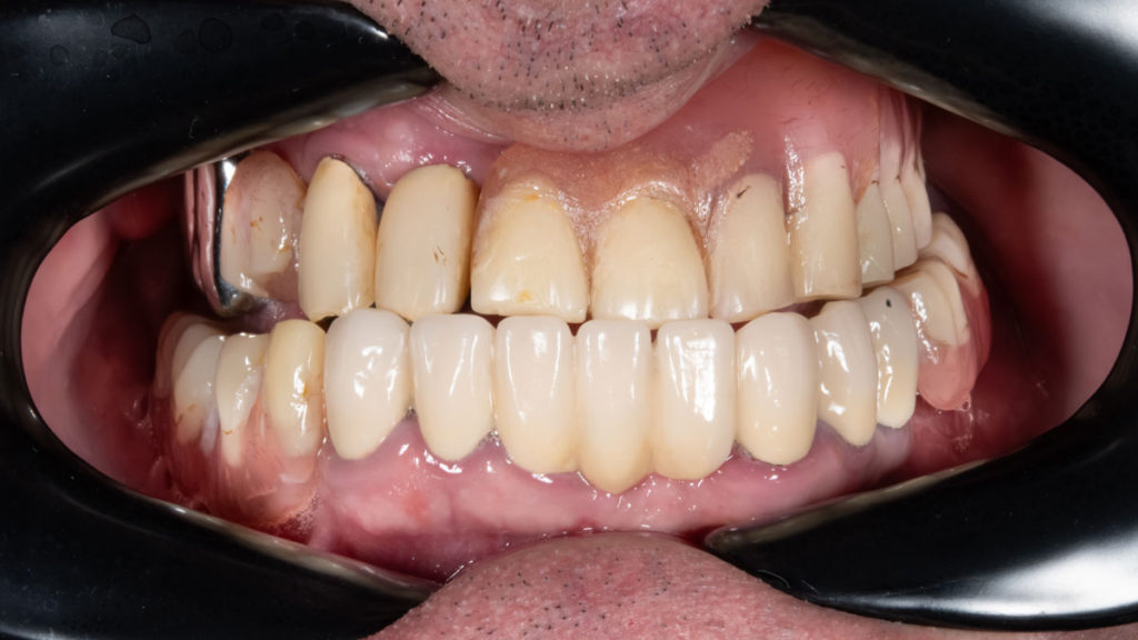
before
before
after
after
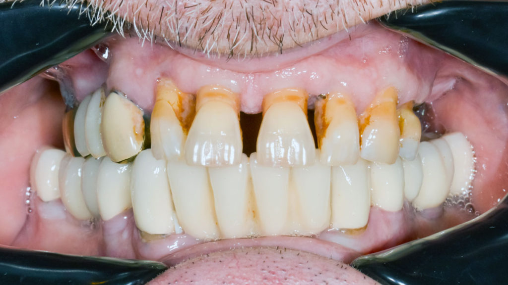
before
before
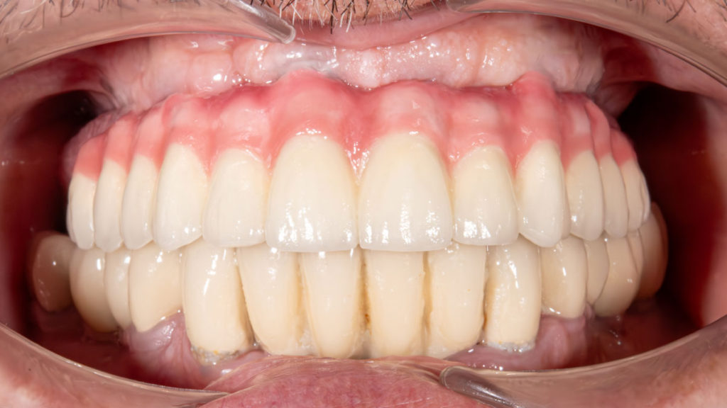
after
after
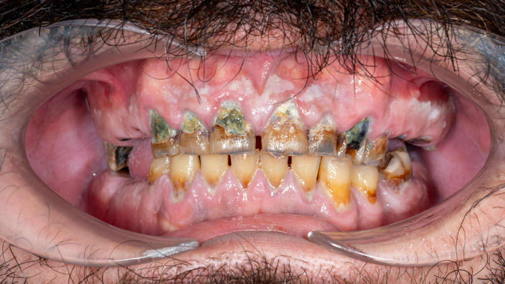
before
before
after
after
before
before
after
after
before
before
after
after
before
before
after
after
before
before
after
after

Dacă alegi tratamentul de reabilitare fixă pe implanturi, chiar și atunci când ai pierdut toți sau aproape toți dinții, medicul poate insera 4 sau 6 implanturi dentare, pe care, în funcție de situația clinică, se montează o lucrare provizorie fixă imediat sau în interval de 24–72 de ore după intervenție.

Vezi cum facem procedura de dinți ficși la clinica LLL
vezi video
Video

Vezi cum facem procedura de dinți ficși la clinica LLL

Urmărește video-ul și află ce presupune tratamentul dinți ficși în 24 de ore în București, cum funcționează implanturile dentare, care sunt avantajele, costurile și ce experiență îți oferim în clinica noastră.

Pentru cine este potrivit tratamentul cu dinți ficși în 24 de ore?

Procedura dinți ficși în 24 de ore se adresează pacienților care trăiesc zilnic cu durere, disconfort sau rușinea de a nu mai putea zâmbi. Este o soluție modernă și bine documentată medical pentru cei care își doresc să revină la o viață normală, adică să poată vorbi, mânca și zâmbi din nou fără rețineri.

Tratamentul este potrivit în mod special pentru:

  • pacienții cu parodontoză avansată;

  • pacienții care și-au pierdut toți sau aproape toți dinții;

  • pacienții cu dantură grav afectată de carii;

  • persoanele care poartă proteze mobile;

  • pacienții cu lucrări dentare vechi sau problematice;

  • pacienții cu pierdere osoasă accentuată;

  • pacienții care își doresc o schimbare completă a zâmbetului.

👉 Fiecare caz este unic. Într-o consultație dedicată, îți putem arăta pas cu pas, cu ajutorul planificării digitale, noul tău zâmbet și ce opțiune de tratament se potrivește situației tale.

Ce este ALL ON X si cat costa

Ce înseamnă tratamentul cu dinți ficși în 24 de ore?

Tratamentul dinți ficși în 24 de ore înseamnă, simplu spus, că îți putem reface o arcadă întreagă cu dinți ficși într-o singură zi.

Spre deosebire de un implant dentar clasic, unde este nevoie să aștepți câteva luni până la aplicarea coroanei, în acest caz primești dinți provizorii ficși imediat după inserarea implanturilor. Astfel, nu rămâi nicio zi fără zâmbet și poți vorbi, mânca și socializa normal chiar de a doua zi.

Procedura dinți ficși în 24 de ore presupune inserarea a 4 sau 6 implanturi dentare pe arcadă (all on 4 & all on 6), care vor susține o lucrare provizorie fixă cu toți dinții arcadei. Implanturile din față sunt poziționate drept, iar cele din spate sunt ușor înclinate. Această distribuție strategică oferă o stabilitate excelentă, pentru că implanturile se sprijină unele pe altele, împărțind uniform forțele atunci când mănânci sau vorbești.

Pașii pentru implant dentar rapid în Clinica LLL Dental

Etapele tratamentului cu dinți ficși pas cu pas

consultatie dinti ficsi in 24 de ore
Etapa 1

Consultația inițială

Începem cu o discuție și o evaluare amănunțită. Medicul implantolog analizează starea generală a dinților, gingiilor și osului, pe baza unei radiografii și, dacă este nevoie, a unei tomografii 3D. În această etapă discutăm deschis despre opțiunile de tratament, durata, costuri și așteptările pe care le ai. Scopul este ca tu să înțelegi clar fiecare pas și să alegem împreună soluția potrivită.

planificare digitala dantura fixa
Etapa 2

Planificarea digitală

După ce stabilim că ești un candidat potrivit, urmează planificarea propriu-zisă a tratamentului. Cu ajutorul tehnologiei digitale, realizăm o scanare intraorală și un design virtual al zâmbetului, pentru a stabili cu precizie poziția fiecărui implant. În această etapă pregătim și lucrarea provizorie fixă, care va fi montată în aceeași zi cu implanturile. In alte cazuri, dupa operatie scanam pozitia exacta a implanturilor si obtinem lucrarea provizorie in 24- 48 de ore de la operatie.

interventie chirurgicala dinti ficsi
Etapa 3

Intervenția chirurgicală

Intervenția are loc sub anestezie locală și, eventual, sedare conștientă, pentru confort total. Dacă există dinți irecuperabili, aceștia sunt extrași în aceeași ședință, apoi se inserează 4 sau 6 implanturi dentare (în unele cazuri 8), în funcție de arcadă. La finalul procedurii, montăm lucrarea provizorie fixă.

Este important de știut că această etapă este una complexă și de durată, pentru că într-o singură intervenție se realizează toate procedurile necesare, de la extracții până la inserarea implanturilor.

Fiecare caz este unic. Montarea lucrării provizorii în aceeași zi este posibilă doar daca evaluarea medicală completă permite și dacă sunt îndeplinite condițiile anatomice necesare. Medicul îți va recomanda soluția sigură și potrivită pentru tine.

Detalii
gura uscata si hidratare
Etapa 4

Perioada de vindecare (osteointegrarea)

În următoarele luni, implanturile se integrează natural în os, proces numit osteointegrare. Aceasta durează, de regulă, între 4 și 6 luni. Pe toată această perioadă, porți lucrarea provizorie fixă, care îți permite să mănânci și să zâmbești normal.

Pentru o vindecare optimă, este important să respecți indicațiile medicului, să menții o igienă orală atentă și să eviți fumatul sau alcoolul.

before and after dinti ficsi in 24 de ore
Etapa 5

Lucrarea finală

După ce implanturile s-au integrat complet, lucrarea provizorie este înlocuită cu cea definitivă.  Lucrarea finală este comparabilă cu dinții naturali și marchează finalul tratamentului.

Echipa multidisciplinară de medici LLL Dental

Dr. Manuela Lupascu

Dr. Manuela Lupaşcu

Detalii
dr. claudiu lupascu

Dr. Claudiu Lupaşcu

Detalii
Mihaela Lemnrău

Dr. Mihaela Lemnrău

Detalii
Teodora Damcalescu

Dr. Teodora Damcalescu

Detalii
dr haralambie vlas

Dr. Haralambie Vlas

Detalii
roxana gheorghe

Dr. Roxana Radocea

Detalii
magda ivanescu

Magdalena Ivanescu

Detalii

Beneficiile tratamentului cu dinți ficși într-o zi

Tratamentul dinți ficși în 24 de ore îți readuce confortul și siguranța. Mai jos redăm principalele beneficii confirmate și de experiența clinică.

Îmbunătățirea imediată a esteticii

La finalul tratamentului, pleci din clinică cu o lucrare provizorie fixă care arată și se simte natural. Zâmbetul tău se schimbă instant, iar expresia feței se armonizează.

Revenirea funcționalității și a masticației normale

Dinții ficși îți permit să mănânci din nou fără teama că lucrarea se mișcă sau provoacă disconfort. Spre deosebire de protezele mobile, implanturile dentare asigură o ancorare stabilă în os, astfel încât poți consuma alimente variate, fără restricții majore [2].

Recăpătarea naturaleții și clarității în vorbire

Chiar dacă în primele zile pot apărea mici modificări de pronunție, mai ales pentru sunetul „S”,  acestea dispar rapid pe măsură ce limba se adaptează la noua poziție a dinților. Studiile arată că, după perioada de acomodare, aproape toti pacientii nu mai prezintă probleme de vorbire [3]. Cu lucrarea dentară fixă vei putea articula clar, fără să simți că „alunecă” proteza sau că trebuie să îți controlezi vocea.

Menținerea sănătății osoase și a conturului feței

Implanturile dentare preiau rolul rădăcinilor naturale și transmit forțele de masticație către os. Acest stimul mecanic previne resorbția osoasă și ajută la păstrarea formei naturale a feței. Astfel, se evită aspectul îmbătrânit care apare uneori după pierderea dinților [4].

Stabilitate și confort pe termen lung

Cu dantura fixă pe implanturi, pacienții nu mai au nevoie de adezivi, ajustări frecvente sau griji legate de mișcarea lucrării în timpul vorbirii sau meselor.

Durabilitate și investiție în sănătate

Cu o igienă corectă și controale regulate, implanturile dentare rămân funcționale pe termen lung. Peste 97% dintre implanturile puse în cadrul unor tratamente tip dinți ficși în 24 de ore sau all-on-4/all-on-6 rămân funcționale chiar și după 15-17 ani de la tratament [5]. Lucrarea finală este realizată din materiale rezistente și biocompatibile, menite să ofere funcționalitate și estetică pe termen lung.

Cât costă tratamentul cu dinți ficși în 24 de ore și ce influențează prețul?

Tratamentul cu dinți ficși pe 4, 6 sau 8 implanturi este structurat în două etape medicale:  

  • Etapa 1: inserarea implanturilor și realizarea lucrării provizorii, montată în aceeași zi sau la 24–72 de ore după intervenție.  
  • Etapa 2: aplicarea lucrării definitive, după integrarea completă a implanturilor (aprox. 4–6 luni).

Costul implantului dentar pentru toată gura depinde de numărul de implanturi, materialul ales pentru lucrarea definitivă și complexitatea cazului (ex: extracții, adiții osoase, tipul de arcadă).

În tabelul de mai jos regăsești toate variantele All-on-4, All-on-6 și All-on-8, cuprinzând ambele etape de tratament.

Pret dinți ficși in 24 de ore

Sistem de implanturi ALL on 4 (Keystone/JDEvolution+) si lucrare fixa provizorie
INCLUDE: 
consultatie medic specialist, radiografie panoramica x2, tomografia dentara, extractiile atraumatice (toate care sunt necesare), membrane A-Prf, membrane de colagen, osul artificial, sistemul de Implanturi ALL on 4 (4 implanturi dentare), lucrarea provizorie fizionomica fixa (in 24-72 ore de la operatie)
15000 RON
Sistem de implanturi ALL on 6 (Keystone/JDEvolution+) si lucrare fixa provizorie

INCLUDE:  consultatie medic specialist, radiografie panoramica x2, tomografia dentara, extractiile atraumatice (toate care sunt necesare), membrane A-Prf, membrane de colagen, osul artificial, sistemul de Implanturi ALL on 6 (6 implanturi dentare), lucrarea provizorie fizionomica fixa (in 24-72 ore de la operatie)
19000 RON
Sistem de implanturi ALL on 8 (Keystone/JDEvolution+) si lucrare fixa provizorie

INCLUDE:  consultatie medic specialist, radiografie panoramica x2, tomografia dentara, extractiile atraumatice (toate care sunt necesare), membrane A-Prf, membrane de colagen, osul artificial, sistemul de Implanturi ALL on 8 (8 implanturi dentare), lucrarea provizorie fizionomica fixa (in 24-72 ore de la operatie)
26.500 RON
Lucrare definitiva fizionomica fixa 12 dinti din ceramica pe suport metalic (pe arcada)

Se realizeaza dupa vindecarea completa (cateva luni) 
22.000 RON
Lucrare definitiva fizionomica fixa 12 dinti pe suport zirconiu High Esthetics (pe arcada)

Se realizeaza dupa vindecarea completa (cateva luni) 
26.000 RON
Lucrare definitiva fixa hybrid cu structura frezata din titan (CAD CAM) 12 dinti si coroane individuale de zirconiu High Esthetics (pe arcada)

Se realizeaza dupa vindecarea completa (cateva luni)
34.800 RON
Lucrare definitiva 14 DINTI ALL ON X fixa din ceramica pe suport metalic (pe arcada)

Se realizeaza dupa vindecarea completa (cateva luni)
25.600 RON
Lucrare definitiva 14 DINTI ALL ON X fixa pe suport zirconiu High Esthetics (pe arcada)

Se realizeaza dupa vindecarea completa (cateva luni)
33.000 RON
Lucrare definitiva 14 DINTI fixa hybrid cu structura frezata din titan (CAD CAM) si coroane individuale de zirconiu High Esthetics (pe arcada)

Se realizeaza dupa vindecarea completa (cateva luni)
40.600 RON
Tratament de revizie pentru lucrarile ALL ON 4/61500 RON

Ce beneficii suplimentare ai în experiența LLL Dental?

Acum ai toate informațiile: știi ce presupune tratamentul cu dinți ficși în 24 de ore, care sunt etapele și cât costă un implant dentar de acest tip.

Poate că următoarea întrebare este firească: „De ce să aleg LLL Dental?”

Răspunsul e simplu: nu suntem cea mai ieftină opțiune, și nici nu ar trebui să îți dorești ca un tratament atât de complex să fie realizat la cel mai mic preț de pe piață.

Prioritățile noastre sunt: siguranța, precizia și timpul câștigat, iar asta se datorează faptului că totul se realizează sub același acoperiș: medicul, tehnicianul și laboratorul dentar lucrează împreună, în timp real.

Avem propriul laborator de tehnică dentară, complet digitalizat, care ne permite să realizăm lucrările provizorii și definitive rapid, cu acuratețe și control total asupra detaliilor estetice. 

În plus, poți plăti tratamentul în rate fără dobândă, prin cardurile de credit UniCredit, în până la 12 rate egale. Astfel, îți poți organiza bugetul în mod echilibrat și poți începe tratamentul atunci când este momentul potrivit pentru tine.

Știi costul de la început, fără taxe ascunse, fără costuri suplimentare pe parcurs.
 

👉 Programează o consultație și află ce variantă de tratament ți se potrivește.

Într-o singură întâlnire, poți vedea digital cum va arăta noul tău zâmbet și care sunt opțiunile de plată potrivite pentru tine!

Recenzii

Vezi experiențele pacienților noștri

Întrebări frecvente

Arată natural dantura fixă în 24 de ore?

Da. Lucrarea protetică este personalizată. Astfel, se va potrivi foarte bine cu trăsăturile și fizionomia pacientului.

 

Ce fac imediat după intervenția chirurgicală pentru dinți ficși în 24 de ore?

Ia antibioticele și calmantele prescrise, conform indicațiilor medicului. Nu clăti gura în primele ore după operație, deoarece poate afecta procesul inițial de vindecare. După aceea, folosește apa de gură recomandată de medic, clătind ușor, fără presiune. 

Evită fumatul, alcoolul, efortul fizic și activitățile solicitante timp de cel puțin o săptămână. Aplică gheață 20-30 de minute pe umflături sau vânătăi.

Cum am grijă de dantura fixă provizorie?

Evită să perii zona operată și nu forța curățarea lucrării provizorii. În primele zile, limitează-te la clătiri ușoare cu apă de gură recomandată de medic, fără să folosești periuța. Îți vom arăta pas cu pas cum să menții lucrarea curată și cum să protejezi gingiile în timpul vindecării.

Ce pot mânca după procedura dinți ficși în 24 de ore?

În ziua intervenției consumă doar lichide (supe pasate, iaurt, shake-uri), apoi urmează, cca 3 luni, o dietă moale, cu alimente ușor de mestecat, nepicante, fără acid și iritanți, la temperatură moderată. Evită alimentele tari (nuci, pâine crocantă, carne fibroasă), lipicioase (caramele, gume) și foarte fierbinți. De asemenea, evita alcoolul și nu fuma în prima săptămână, pentru a nu încetini vindecarea.

Este sigur tratamentul cu dinți ficși în 24 de ore?

Da, tratamentul cu dinți ficși în 24 de ore este sigur, bazându-se pe tehnologii eficiente și implanturi calitative, folosite la nivel mondial. Aceste sisteme de implanturi sunt fabricate de producători renumiți, cu o vastă experiență în implantologie.

Cum alegi între proteză dentară fixă pe 4 sau pe 6 implanturi?

În general, sistemul All-on-4 presupune inserarea a patru implanturi distribuite strategic astfel încât să poată susține o lucrare fixă pentru întreaga arcadă. Acest tip de reabilitare este utilizat frecvent atunci când anatomia permite inserarea celor 4 implanturi cu stabilitate adecvată și când volumul osos este limitat în anumite zone, dar suficient pentru o ancorare corectă. Numărul de dinți integrați în lucrare poate varia în funcție de planul protetic și de spațiul disponibil.

All-on-6, în schimb, implică inserarea a șase implanturi, ceea ce permite un suport suplimentar pentru lucrare și o distribuție mai uniformă a forțelor masticatorii. Acest plan de tratament este ales atunci când există volum osos suficient pentru a insera implanturi suplimentare și când se dorește o stabilitate biomecanică crescută. Numărul final de dinți incluși în lucrare depinde de proiectarea protetică și de particularitățile fiecărui caz.

Este nevoie de timp de recuperare după intervenție?

Da, doar că perioada de recuperare este scurtă și ușor de gestionat dacă se respectă instrucțiunile primite în cabinet. Majoritatea pacienților își reiau activitățile normale după 1-2 zile. Perioada de recuperare nu trebuie confundată cu perioada de osteointegrare, care durează până la 6 luni.

Ce înseamnă procedura de dinti ficsi in 24 ore și care sunt etapele ei?

Pe scurt, este o procedură prin care îți refacem o arcadă completă cu dinți ficși într-o singură zi. Se inserează 4 sau 6 implanturi pe arcadă, pe care se montează o lucrare provizorie fixă imediat sau în 24-48 de ore de la intervenție. Etapele sunt: consultația inițială cu evaluare clinică și imagistică, planificarea digitală a tratamentului, intervenția chirurgicală (extracții + inserare implanturi + lucrare provizorie), perioada de osteointegrare de 4-6 luni și, la final, montarea lucrării definitive.

Care este cel mai bun tratament pentru a obține dinti ficsi dacă am proteza mobila?

Cel mai frecvent recomandat tratament este reabilitarea pe implanturi de tip All-on-4 sau All-on-6, care presupune înlocuirea protezei mobile cu o lucrare fixă ancorată pe 4 sau 6 implanturi. În funcție de situația clinică, poți beneficia de dinți ficși provizorii chiar în ziua intervenției. Soluția concretă – numărul de implanturi și tipul de sistem – se stabilește după consultație și evaluarea imagistică 3D.

Ce diferenta este intre dinti ficsi pe implanturi si proteza clasica din punct de vedere al confortului?

Proteza mobilă se sprijină pe gingie, poate aluneca și necesită adezivi. Dinții ficși pe implanturi sunt ancorați direct în os – nu se mișcă, permit masticația normală și oferă senzația naturală a dinților proprii. În plus, implanturile stimulează osul și previn resorbția osoasă care apare inevitabil sub protezele mobile.

Cat costa tratamentul de dinti ficsi in 24 ore pentru o arcada completa?

Pachetul de implanturi cu lucrare provizorie fixă pornește de la 15.000 RON per arcadă (sistem All-on-4) și include consultația, investigațiile imagistice, extracțiile necesare, membranele, osul artificial, implanturile și lucrarea provizorie fizionomică. Lucrarea definitivă se realizează după perioada de vindecare și pornește de la 22.000 RON per arcadă, în funcție de materialul ales. Costul total se stabilește după consultație, în cadrul unui deviz detaliat. (verifica pagina de preturi pentru informatii complete)

Este sigur tratamentul pentru dinti ficsi in 24 ore daca am parodontoza avansata?

Da, parodontoza avansată este de fapt una dintre indicațiile frecvente pentru acest tratament. Dinții compromiși parodontal sunt extrași în cadrul intervenției, zonele afectate sunt curățate, iar implanturile se inserează în os sănătos. Condiția este ca boala parodontală să fie controlată înainte de intervenție – dacă există infecții active, tratăm mai întâi aceste probleme pentru a asigura condiții optime de vindecare.

Ce tip de implanturi se folosesc la tratamentul de dinti ficsi in 24 ore?

La LLL Dental folosim mai multe sisteme premium: Straumann (BLX, TLX), Bredent, Megagen (AnyRidge) și Keystone. Toate sunt compatibile cu protocoale de încărcare imediată, condiția esențială fiind obținerea unei stabilități primare ridicate la inserare. Alegerea sistemului se face individual, în funcție de calitatea osului, de planul protetic și de particularitățile fiecărui caz.

Care sunt riscurile și complicațiile posibile la procedura de dinti ficsi in 24 ore?

Ca orice intervenție chirurgicală, pot apărea reacții postoperatorii firești: disconfort sau durere moderată în primele 24-48 de ore, umflare locală, eventuale vânătăi și sângerare ușoară. Acestea se atenuează de regulă în primele zile. Complicațiile rare includ infecția postoperatorie, lipsa integrării unui implant sau afectarea unei structuri anatomice. Planificarea digitală și chirurgia ghidată pe care le utilizăm reduc semnificativ aceste riscuri. Dacă inflamația sau durerea se intensifică după a treia zi, ne contactezi pentru evaluare.

Cum alegi clinica potrivită pentru tratamentul de dinti ficsi in 24 ore?

Câteva criterii esențiale: echipa medicală să aibă experiență documentată în implantologie și reabilitări complexe, clinica să dispună de radiologie 3D (CBCT) și planificare digitală, să aibă laborator propriu de tehnică dentară (pentru controlul calității și ajustări rapide) și să îți ofere transparență totală asupra costurilor și etapelor. Recenziile pacienților anteriori sunt, de asemenea, un indicator de încredere.

Cat dureaza intervenția pentru un implant dentar rapid și cand pot pune coroana finală?

Intervenția chirurgicală durează câteva ore, în funcție de complexitate. Lucrarea provizorie fixă se montează în aceeași zi sau în 24-48 de ore. Coroana finală (lucrarea definitivă) se realizează după perioada de osteointegrare, care durează de regulă 4-6 luni.

Ce analize si investigatii sunt necesare înainte de un implant dentar rapid?

Consultația clinică, radiografia panoramică și tomografia CBCT (pentru evaluarea volumului și densității osoase) sunt investigațiile de bază. În funcție de istoricul medical, pot fi necesare și analize de sânge sau avize de la medicul curant. Toate investigațiile imagistice le poți efectua direct la noi în clinică.

Care este costul unei danturi fixe pe implanturi pentru ambele arcade?

Costul se calculează separat pentru fiecare arcadă. Pachetul chirurgical (implanturi + lucrare provizorie) pornește de la 15.000 RON per arcadă, iar lucrarea definitivă de la 22.000 RON per arcadă. Totalul pentru ambele arcade depinde de numărul de implanturi recomandat pe fiecare arcadă, de procedurile suplimentare necesare și de materialul ales pentru lucrarea finală. După consultație, primești un deviz detaliat pentru fiecare arcadă în parte.

Ce tipuri de sisteme exista pentru dantura fixa pe implanturi la pacienții fără dinți?

Principalele opțiuni sunt All-on-4 (4 implanturi pe arcadă), All-on-6 (6 implanturi pe arcadă) și Fast & Fixed (protocol Bredent cu implanturi poziționate axial și înclinat). Toate urmăresc același obiectiv – o lucrare fixă pe o arcadă completă – dar diferă prin numărul de implanturi, protocolul chirurgical și sistemul utilizat. Varianta potrivită se stabilește în funcție de osul disponibil și de particularitățile cazului.

Ce durata de viata are o dantura fixa pe implanturi dacă este bine ingrijita?

Cu igienă orală corectă și controale periodice regulate, o dantură fixă pe implanturi poate funcționa zeci de ani. Longevitatea depinde de igiena zilnică, stilul de viață (fumatul este un factor de risc), sănătatea generală și respectarea vizitelor de control. Lucrarea definitivă poate necesita în timp înlocuire sau ajustare din cauza uzurii naturale, însă implanturile propriu-zise au o durată de funcționare foarte mare.

Este posibila dantura fixa pe implanturi dacă am resorbtie osoasa accentuata?

Da, în multe cazuri este posibilă. Tehnica All-on-4 / All-on-6 folosește implanturi înclinate tocmai pentru a valorifica zonele unde mai există os suficient, evitând zonele cu resorbție. Acest lucru poate reduce sau elimina necesitatea grefelor osoase extinse. În situațiile cu pierdere osoasă severă, pot fi necesare proceduri de augmentare, dar acestea se stabilesc doar după evaluarea imagistică 3D.

Ce rezultate estetice poate oferi o dantura fixa pe implanturi comparativ cu proteza clasica?

Diferența estetică este substanțială. Lucrarea fixă pe implanturi este proiectată digital, personalizată ca formă și culoare și realizată din materiale premium (ceramică, zirconiu, hibrid). Rezultatul este un zâmbet natural, adaptat fizionomiei tale. Proteza clasică, prin contrast, are un aspect mai vizibil artificial și, pe măsură ce osul se resoarbe, se modifică și adaptarea ei, afectând în timp atât estetica, cât și funcționalitatea.

Pot face tratamentul dinți ficși în 24 ore dacă fumez?

Fumatul nu exclude automat tratamentul, dar este un factor de risc important care poate afecta vindecarea și integrarea implanturilor. Recomandarea noastră este să reduci sau să oprești fumatul înainte de intervenție și în perioada de osteointegrare. Vom discuta despre acest aspect în cadrul consultației și vom adapta planul de tratament în consecință.

Există opțiuni de finanțare sau plată în rate pentru tratamentul dinți ficși în 24 ore?

Da, la LLL Dental poți beneficia de plata tratamentului în tranșe. Pentru detalii despre condițiile de finanțare, ne poți contacta telefonic la 0728.320.700 sau direct la programare.

Câte vizite sunt necesare în total pentru tratamentul dinți ficși în 24 ore și cum mă organizez dacă vin din alt oraș sau din străinătate?

Orientativ, sunt necesare 4-5 vizite principale: consultația inițială, ședința de planificare, intervenția chirurgicală, 1-2 controale postoperatorii în primele săptămâni și vizita pentru montarea lucrării definitive (după 4-6 luni). Pentru pacienții din alte orașe sau din străinătate, putem concentra consultația și planificarea în aceeași zi, astfel încât numărul deplasărilor să fie cât mai redus. Detaliile de organizare le stabilim telefonic, în funcție de situația ta.

Ce opțiuni am pentru dinti ficsi dacă am pierdut toți dinții de jos?

Mandibula beneficiază de regulă de un os mai dens, ceea ce face tratamentul pe implanturi foarte predictibil. Cea mai frecventă opțiune este All-on-4, care oferă stabilitate excelentă pe mandibulă cu doar 4 implanturi. În funcție de volumul osos și de particularitățile cazului, se poate opta și pentru All-on-6 sau pentru protocolul Fast & Fixed. Soluția concretă se stabilește după evaluarea clinică și imagistică.

Referințe

[1] Tobias, G., Tali Chackartchi, Haim, D., Mann, J., & Mordechai Findler. (2025). Dental Implant Survival Rates: Comprehensive Insights from a Large-Scale Electronic Dental Registry. Journal of Functional Biomaterials, 16(2), 60–60. https://doi.org/10.3390/jfb16020060

[2] Soni, R., Yadav, H., Pathak, A., Bhatnagar, A., & Kumar, V. (2020). Comparative evaluation of biting force and chewing efficiency of all-on-four treatment concept with other treatment modalities in completely edentulous individuals. The Journal of Indian Prosthodontic Society, 20(3), 312. https://doi.org/10.4103/jips.jips_464_19

[3] Lundqvist, S., Haraldson, T., & Lindblad, P. (1992). Speech in connection with maxillary fixed prostheses on osseointegrated implants: a three-year follow-up study. Clinical Oral Implants Research, 3(4), 176–180. https://doi.org/10.1034/j.1600-0501.1992.030404.x

[4] Angelis, N. D., Pesce, P., Yumang, C., Baldi, D., & Menini, M. (2025). Bone Stability After Immediate Implants and Alveolar Ridge Preservation: A 15-Year Retrospective Clinical Study. Dentistry Journal, 13(7), 299–299. https://doi.org/10.3390/dj13070299

[5]  Uesugi, T., Yoshiaki Shimoo, Motohiro Munakata, Sato, D., Yamaguchi, K., Michiya Fujimaki, Nakayama, K., Watanabe, T., & Malo, P. (2023). The All-on-four concept for fixed full-arch rehabilitation of the edentulous maxilla and mandible: a longitudinal study in Japanese patients with 3–17-year follow-up and analysis of risk factors for survival rate. International Journal of Implant Dentistry, 9(1). https://doi.org/10.1186/s40729-023-00511-0

Programează-te la Clinica LLL Dental

Te poți programa la 0728.320.700 sau completând unul dintre formulare:

consultatie dinti ficsi in 24 de ore
Prima oară la LLL?

Programează un consult inițial complet

  • evaluare integrală + plan de tratament – 200 RON
  • radiografii – 120 RON (doar dacă este cazul)
Programează-te la un specialist
Ai o problemă punctuală?

Programează-te la un specialist

Ne comunici problema, iar consilierul nostru te va îndruma către medicul potrivit și îți va da toate detaliile telefonic, înainte de programare.

Nou pe blog