Implant dentar la LLL Dental

Implantul dentar reprezintă soluția fixă pentru înlocuirea dinților lipsă, cu intervenții precise planificate digital. La clinica LLL Dental din Bucuresti, combinăm expertiza în implantologie cu tehnologia ghidată pentru un tratament confortabil și previzibil.

  • Planificare digitală precisă
  • Opțiuni flexibile de implanturi
  • Totul într-un singur loc: inclusiv radiologie și laborator propriu

Când îți lipsesc unul sau mai mulți dinți, ai nevoie de o soluție care să îți permită să mănânci, să vorbești și să zâmbești fără griji. Implanturile dentare înlocuiesc rădăcina pierdută și oferă un suport stabil pentru diferite tipuri de lucrări: de la o coroană sau o punte, până la reabilitări complete ale arcadei dentare, precum All-on-4 sau All-on-6. După integrarea în os, implanturile contribuie la o funcționare echilibrată a danturii și la un confort apropiat de cel al dinților naturali.

Vezi cum realizăm tratamentul cu implant dentar la Clinica LLL Dental
Vezi video
Video

Vezi cum realizăm tratamentul cu implant dentar la Clinica LLL Dental

Află din video ce presupune inserarea unui implant dentar, care sunt etapele de vindecare și cum ne asigurăm, prin planificare digitală și experiență, că te vei bucura de un zâmbet funcțional și estetic pe termen lung.

Ce este un implant dentar și cum funcționează?

Un implant dentar este un dispozitiv biocompatibil care se inserează în osul maxilar sau mandibular pentru a înlocui rădăcina unui dinte lipsă. Acesta trece printr-un proces de integrare în os, numit osteointegrare, care îi conferă stabilitatea necesară pentru a susține o restaurare fixă (dintele artificial).

Implantul funcționează ca un suport intern, bontul protetic face legătura cu partea vizibilă, iar coroana sau lucrarea fixă înlocuiește dintele propriu-zis. Împreună, aceste componente restabilesc funcția de masticație și contribuie la un aspect natural al zâmbetului.

În ce situații este recomandat implantul dentar?

Tratamentul poate fi indicat atunci când:

  • există unul sau mai mulți dinți pierduți;
  • lucrările mobile sau punțile existente nu mai oferă stabilitate suficientă;
  • nu mai există suficiente rădăcini naturale pentru a susține o punte dentară;
  • procese precum caria avansată sau traumatismele au făcut dintele ireparabil;
  • există dinți care nu s-au dezvoltat sau sunt rădăcini afectate, observate la radiografie;
  • protezele mobile trebuie evitate.

Indicația finală se stabilește în urma consultului clinic și a investigațiilor imagistice, care permit evaluarea sănătății generale și, local, a osului, a poziției viitoarelor restaurări și a specificului fiecărui caz.

 

Află dacă implantul dentar este potrivit pentru tine. Programează o consultație în care vom evalua situația clinică și opțiunile de tratament.

Ce analize și investigații sunt necesare înainte de tratament?

Planificarea implantului începe cu o evaluare completă pentru a stabili dacă zona poate susține tratamentul.

1
Istoricul medical și dentar

Vom analiza motivele tratamentului, afecțiunile generale care pot influența vindecarea, tratamentele anterioare, medicația și factori de stil de viață relevanți, precum fumatul.

2
Examinarea clinică

Verificăm sănătatea gingiilor, a dinților vecini, spațiul pentru viitoarea coroană, ocluzia și condițiile locale necesare inserării implantului.

3
Investigațiile radiologice

Radiografia panoramică și tomografia CBCT (Cone Beam Computed Tomography) oferă informații despre volumul și densitatea osului și permit planificarea poziției exacte a implantului.

Pe baza acestor date se stabilește dacă osul este adecvat sau dacă sunt necesare proceduri suplimentare, precum augmentarea osoasă.

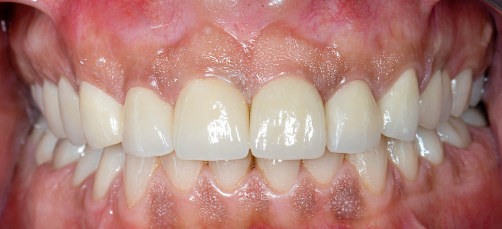
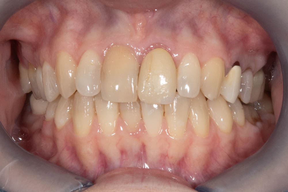
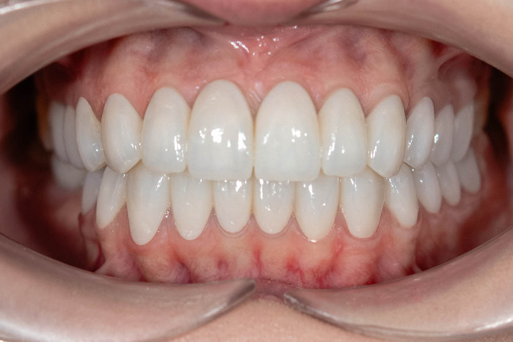
Cazuri Clinice LLL Dental

before
before
after
after
before
before
after
after
before
before
after
after
before
before
after
after
before
before
after
after
before
before
after
after
before
before
after
after
before
before
after
after
FATETE-EMAX-before
before
FATETE-EMAX-after
after
before
before
after
after
before
before
after
after
Pașii implantului dentar în Clinica LLL Dental

Etapele tratamentului cu implant dentar în clinica LLL Dental?

Tratamentul cu implant dentar se desfășoară etapizat, cu perioade de vindecare necesare între proceduri. Ordinea și durata acestora depind de volumul osos, de necesitatea unor proceduri suplimentare și de tipul restaurării dorite.

operatie chist dentar
Etapa 1
Îndepărtarea dintelui compromis (dacă este cazul)

Extracția poate fi realizată înaintea inserării implantului sau în aceeași ședință, atunci când situația o permite.

Pregătirea osului
Etapa 2
Pregătirea osului

Dacă osul nu are suficient volum sau densitate, îți vom recomanda augmentarea osoasă pentru a crea un suport stabil.

 Inserarea implantului
Etapa 3
Inserarea implantului

Implantul se fixează în os printr-o procedură realizată în condiții controlate. După aceea începe procesul de osteointegrare.

Perioada de vindecare
Etapa 4
Perioada de vindecare

Osteointegrarea poate dura de la șase săptămâni până la câteva luni (cel mai frecvent 3-4 luni), timp în care monitorizăm evoluția și verificăm stabilitatea implantului.

Realizarea și montarea coroanei
Etapa 5
Realizarea și montarea coroanei

După amprentarea sau scanarea digitală și alegerea materialului, coroana este realizată în laboratorul propriu de tehnică dentară, apoi se fixează pe bontul protetic.

Procesul complet poate dura câteva luni, în funcție de necesitățile clinice. În anumite situații atent selecționate, putem realiza o restaurare provizorie în aceeași zi, în urma evaluării clinice și imagistice.

Ce poți simți în timpul și după intervenția cu implant dentar?

Intervențiile pentru inserarea implanturilor dentare se realizează cu anestezie locală și sedare conștientă, ceea ce permite pacientului să rămână relaxat și cooperant pe tot parcursul tratamentului. 

După intervenție pot apărea manifestări locale obișnuite, precum:

  • inflamarea zonei tratate;
  • sensibilitate sau durere controlabilă cu analgezice recomandate;
  • ușoare sângerări;
  • modificări (tumefiere, umflare) temporare ale țesuturilor moi.

Aceste manifestări tind să se reducă progresiv după primele zile. Dacă durerea sau inflamația se accentuează, este necesară o evaluare medicală.

Cum stabilim planul adecvat pentru situația ta clinică?

Cum planificăm poziția implantului înainte de intervenție?

Planificarea începe de la rezultatul dorit, final, adică viitoarea restaurare, astfel încât implantul să fie poziționat corect. Analizăm imaginile CBCT, radiografiile și amprentele digitale pentru a evalua volumul osos (cantitatea și calitatea osului), spațiul necesar coroanei și distanța față de structurile anatomice importante.

În funcție de aceste date, stabilim tipul de implant dentar, poziția și dimensiunea potrivită. În funcție de particularitățile fiecărui caz, putem utiliza un ghid chirurgical care orientează inserarea implantului conform planului digital. Această etapă ne ajută să obținem o poziție corectă și adaptată fiecărui pacient.


Cum reducem inciziile prin ghidare digitală?

Ghidarea digitală permite planificarea exactă a poziției implantului înainte de intervenție, pe baza imaginii CBCT și a modelării 3D. Folosim ghiduri chirurgicale personalizate, aceleași despre care am vorbit mai devreme ca parte a planificării digitale, pentru a putea insera implantul printr-o incizie minimă, fără expunerea largă a osului. Acest lucru face procedura mai puțin invazivă și poate contribui la o vindecare mai rapidă, cu disconfort redus pentru pacient.

Vrei o imagine clară asupra opțiunilor tale? Programează o consultație în care discutăm planul de tratament.

clinica stomatologica in Bucuresti

De ce sa alegi LLL Dental pentru tratamentul cu implant dentar?

Pentru că la noi găsești:

  • o echipă calificată, dedicată realizării tratamentelor cu implant dentar în condiții de siguranță și profesionalism;
  • peste 25 de ani de experiență în implantologie dentară și reabilitări orale complexe;
  • laborator propriu de tehnică dentară, care ne permite control direct asupra etapelor protetice, a esteticii și a adaptării lucrării;
  • capacitatea de a gestiona tratamente cu implanturi dentare, de la cazuri simple până la reabilitări complete, adaptate fiecărui pacient;
  • implantologie ghidată digital și tehnologii precum Digital Smile Design și CAD/CAM, integrate în toate etapele tratamentului;
  • intervenții realizate cu sedare conștientă (atunci când este necesar) pentru confort și cooperare optime;
  • un mediu în care siguranța este prioritară, cu sterilizare riguroasă și monitorizare constantă;
  • materiale originale și acces la o gamă extinsă de sisteme de implanturi, inclusiv Straumann, Keystone, Megagen și Bredent;
  • conceptul One Stop Dentistry, prin care toate etapele, de la diagnostic și investigații la lucrarea finală, sunt realizate în aceeași clinică.

Iar rezultatele? Sunt dovedite și urmărite pe termen lung.

Fă primul pas către un tratament sigur și bine planificat. Programează o consultație pentru implant dentar la LLL Dental.

Tipurile de tratamente disponibile pe implant dentar

1

Implant dentar individual

Acest tip de tratament înlocuiește un singur dinte lipsă printr-un implant și o coroană individuală.

Avantaje: nu necesită șlefuirea dinților vecini, redă funcția de masticație într-un mod firesc și se integrează armonios în zâmbet.

2

Punte dentară pe implanturi

Acest tip de tratament este indicat atunci când lipsesc mai mulți dinți alăturați. Implanturile dentare sunt inserate strategic și susțin o punte fixă, care înlocuiește dinții lipsă fără a fi necesară șlefuirea dinților naturali vecini.

Avantaje: soluție fixă pentru edentații parțiale, distribuție echilibrată a forțelor masticatorii, restaurarea funcției și a esteticii fără afectarea dinților sănătoși.

3

All-on-X

Tehnicile All-on-4 și All-on-6 permit reabilitarea completă a unei arcade folosind doar 4 sau 6 implanturi plasate strategic, care susțin o lucrare fixă.

Avantaje: oferă restaurare completă, distribuție optimă a forțelor și integrare funcțională și estetică.

4

Fast & Fixed (by Bredent)

Este un protocol de reabilitare a unei arcade cu un număr redus de implanturi, care pot susține o lucrare fixă. În anumite situații, poate fi realizată și o restaurare provizorie în aceeași etapă, dacă stabilitatea implanturilor permite acest lucru.

Avantaje: timp redus de tratament, posibilitatea unei restaurări provizorii rapide, confort imediat după intervenție, integrare estetică foarte bună și eliminarea protezelor mobile.

5

„Dinți ficși în 24 de ore”

Dinți ficși în 24 de ore” descrie situațiile în care implanturile pot susține o lucrare provizorie fixă în aceeași zi, atunci când stabilitatea obținută permite acest lucru.

Avantaje: oferă o reabilitare rapidă, o restaurare provizorie fixă și o funcționalitate imediată în limitele recomandate medical.

6

Proteze ancorate pe implanturi

Sunt proteze mobile care se stabilizează pe implanturi prin sisteme de retenție.

Avantaje: oferă o stabilitate superioară protezelor clasice, precum și o funcție și un confort îmbunătățite.

implanturi dentare

Ce tipuri de implanturi utilizăm în tratamentele realizate in clinica LLL Dental?

În clinica LLL Dental utilizăm mai multe tipuri de implanturi dentare recunoscute, alese în funcție de indicația clinică și de particularitățile fiecărui caz:

Care este costul implantului dentar în clinica LLL Dental?

Costul unui implant dentar este determinat de tipul implantului utilizat. Prețul include implantul propriu-zis, bontul de vindecare și bontul protetic, conform sistemului ales.

Coroana dentară se realizează ulterior și are un cost separat, stabilit în funcție de materialul ales și de tipul restaurării.

În tabelul de mai jos găsești prețurile implanturilor dentare în clinica LLL Dental. Procedurile suplimentare, atunci când sunt necesare, fac parte din planul de tratament și se discută în cadrul consultației.

Costurile pot fi achitate și în rate fără dobândă, prin cardurile de credit UniCredit, în până la 12 rate egale.

Prețuri implant dentar la clinica LLL Dental

Extractie atraumatica incisivi, resturi radiculare, dinti mobili350 RON
Extractie atraumatica canini, premolari, molari450 RON
Implant dentar Straumann® SLActive5.800 RON
Implant dentar Keystone (sistemul complet)3.750 RON
Implant dentar JD Evolution+3.000 RON
Implant dentar Megagen Anyridge3.000 RON
Implant dentar Bredent3.000 RON
Augmentare tesut osos (manopera)4.000 RON
Os artificial 1,0g1.500 RON
Os artificial 2,0g3.000 RON
Membrana resorbabila colagen- include fixarea2.000 RON
Mentinator de spatiu titan – include fixarea2.500 RON
Aditie de os artificial sinus (manopera)5.000 RON
Aditie de os artificial sinus hidro-intralift (manopera)2.500 RON
Augmentare tesut gingival (manopera)4.000 RON
Condensare osoasa pe implant350 RON
Sleeves Exocad™️ Guided Surgery750 RON/BUC
Sleeves for Straumann® Guided Surgery1000 RON/BUC
Sleeves for Megagen Guided Surgery1000 RON/BUC
Sleeves for Bredent Guided Surgery1000 RON/BUC
Baza ghid chirurgical250 RON

În clinică sunt disponibile și opțiuni de plată în rate, care se discută în cadrul consultației.

Echipa multidisciplinară de medici LLL Dental

Dr. Manuela Lupascu

Dr. Manuela Lupaşcu

Detalii
dr. claudiu lupascu

Dr. Claudiu Lupaşcu

Detalii
Mihaela Lemnrău

Dr. Mihaela Lemnrău

Detalii
Teodora Damcalescu

Dr. Teodora Damcalescu

Detalii
dr haralambie vlas

Dr. Haralambie Vlas

Detalii
roxana gheorghe

Dr. Roxana Radocea

Detalii
magda ivanescu

Magdalena Ivanescu

Detalii

Alternative la implantul dentar

Atunci când implantul dentar nu poate fi realizat sau nu este indicat, există și alte opțiuni pentru a înlocui dinții lipsă. 

  • Punte dentară fixă pe dinți naturali

Dacă dinții vecini sunt suficient de rezistenți pentru a servi drept suport, poate fi realizată o punte dentară pentru înlocuirea unui dinte sau a unui grup de dinți.

  • Proteză scheletată (proteză parțială mobilă)

Este o soluție mobilă pentru înlocuirea mai multor dinți lipsă. Are o structură metalică ușoară care se ancorează pe dinții existenți și se sprijină pe gingii.

  • Proteză totală mobilă

Este o opțiune mobilă folosită pentru reabilitarea unei arcade fără dinți naturali.

Riscurile posibile și situațiile în care implantul poate să nu fie recomandat

Indicația unui implant dentar se stabilește pe baza unei evaluări medicale și stomatologice care ia în considerare factorii locali, generali și comportamentali [1]. La LLL Dental, analizăm atent aceste elemente, pentru a stabili dacă implantul este o opțiune potrivită și ce măsuri sunt necesare pentru o evoluție favorabilă.

Factori de risc locali

Vizează starea dinților, a gingiilor și modul de igienizare.

  • Boală parodontală activă: implantul se poate insera doar după controlul și stabilizarea bolii.
  • Inflamații sau infecții ale dinților vecini: trebuie tratate înainte de inserarea implantului, pentru a proteja osul și țesuturile din jurul acestuia.
  • Bruxism sau forțe masticatorii crescute: pot necesita ajustări ale ocluziei sau protecție suplimentară pentru a evita suprasolicitarea implantului.
  • Volum sau densitate osoasă insuficientă: poate fi necesară augmentare osoasă pentru a crea condiții stabile de inserare.
Fă o programare
pentru Implant dentar la Clinica LLL Dental

Programează-te la Clinica LLL Dental

Te poți programa la 0728.320.700 sau completând unul dintre formulare:

consultatie dinti ficsi in 24 de ore
Prima oară la LLL?

Programează un consult inițial complet

  • evaluare integrală + plan de tratament – 200 RON
  • radiografii – 120 RON (doar dacă este cazul)
Programează-te la un specialist
Ai o problemă punctuală?

Programează-te la un specialist

Ne comunici problema, iar consilierul nostru te va îndruma către medicul potrivit și îți va da toate detaliile telefonic, înainte de programare.

Întrebări frecvente

Din ce sunt făcute implanturile dentare?

Majoritatea implanturilor sunt realizate din titan sau aliaje de titan, materiale biocompatibile care se integrează bine în os. Implanturile din zirconiu reprezintă o alternativă fără metal, utilizată în special în situații atent selecționate, precum alergii la metale sau cerințe estetice specifice în zona frontală.

Este dureros tratamentul cu implant dentar?

Tratamentul cu implant dentar se realizează sub anestezie locală, iar în anumite situații și cu sedare conștientă, astfel încât intervenția se desfășoară în condiții de confort. În timpul procedurii nu apare durere, ci cel mult senzații de presiune.

Cât durează tratamentul cu implant dentar?

Durata unei ședințe variază în funcție de numărul de implanturi. Inserarea unui singur implant poate dura aproximativ 30 de minute, iar intervențiile care includ mai multe implanturi pot necesita o perioadă mai lungă, de până la câteva ore. În anumite situații poate fi necesară și o a doua ședință chirurgicală.

În tratamentele care implică mai multe implanturi sau protocoale de reabilitare a unei arcade, precum Fast & Fixed, ședința poate dura mai mult, deoarece etapele sunt realizate în aceeași intervenție.

Care este durata de viață a implanturilor dentare?

Implanturile dentare pot avea o durată lungă de viață dacă sunt îngrijite corect. Aceasta presupune igienă orală riguroasă, respectarea indicațiilor medicale și monitorizare pentru menținerea sănătății țesuturilor din jurul implantului.

Când este aplicată coroana dentară definitivă?

Coroana definitivă se aplică după ce implantul s-a integrat în os. Procesul de osteointegrare diferă de la un pacient la altul și poate dura de la câteva săptămâni până la câteva luni, în funcție de stabilitatea obținută la inserare și de calitatea osului.

Când nu este recomandat implantul dentar?

Implantul dentar nu se recomandă atunci când maxilarul nu este complet dezvoltat, în cazul fumatului sau al consumului excesiv de alcool, sau în prezența unei boli parodontale netratate. În aceste situații, tratamentul poate fi luat în considerare doar după controlul și stabilizarea factorilor de risc.

Ce se întâmplă dacă nu înlocuiești un dinte lipsă cu implant dentar?

Atunci când un dinte lipsă nu este înlocuit, pot apărea în timp modificări locale, precum resorbția treptată a osului și migrarea dinților vecini. Aceste schimbări pot influența stabilitatea mușcăturii și pot face ca tratamentele ulterioare, inclusiv implanturile dentare, să necesite etape suplimentare de pregătire. Evoluția diferă de la un caz la altul și este influențată de numărul dinților lipsă, motiv pentru care soluția potrivită se stabilește doar după evaluare clinică și imagistică.

Ce este adiția de os? 

Adiția de os este o procedură prin care mărim volumul osului din zona unde urmează să fie plasat implantul prin adăugarea de os artificial sau de os propriu pacientului. Se recomandă atunci când osul este prea subțire sau prea îngust pentru a susține implantul în siguranță. Detaliile procedurii se stabilesc în urma evaluării clinice.

Cum trebuie să îngrijesc implanturile dentare?

 

Îngrijirea corectă a implanturilor este esențială pentru menținerea lor în timp. Este important să cureți zona de două ori pe zi, folosind periuțe și instrumente interdentare potrivite pentru implanturi, și să acorzi atenție gingiei din jurul restaurării. De asemenea, sunt necesare controale și ședințe de profilaxie pentru monitorizarea și întreținerea implanturilor.

De la ce vârstă poți opta pentru implantul dentar?

Implantul dentar poate fi realizat după încheierea creșterii osoase, începând cu vârsta de 18 ani. În unele cazuri, putem recomanda intervenția puțin mai târziu, în funcție de dezvoltarea individuală a maxilarelor.

Fumătorii pot beneficia de implanturi?

Da, fumătorii pot beneficia de implanturi, însă fumatul crește riscul de complicații, întârzie vindecarea și mărește probabilitatea apariției periimplantitei. Reducerea sau întreruperea fumatului în jurul intervenției poate îmbunătăți rezultatele.

Care sunt primele semne de respingere sau nereușită a implantului dentar?

În stomatologie, „respingerea” implantului înseamnă, de fapt, că acesta nu se integrează în os sau dezvoltă o complicație. Primele semne pot include durere care persistă, mobilitatea implantului, inflamație sau sângerări care nu se ameliorează și disconfort la mușcătură. Aceste simptome pot indica lipsa osteointegrării, o infecție sau suprasolicitarea implantului și necesită evaluare rapidă.

Referințe:

[1] Association of Dental Implantology. (2015). Risk Factors. Adi.org.uk. https://www.adi.org.uk/resources/before_surgery_risk_factors

Nou pe blog