coroane dentare zirconiu

Coroana dentară din zirconiu

Coroana din zirconiu este una dintre cele mai versatile soluții din stomatologia protetică actuală. Poate fi utilizată pentru refacerea unui singur dinte, pentru lucrări extinse pe mai mulți dinți sau pentru restaurări pe implanturi, inclusiv pe întreaga arcadă.

Avantajele tratamentului cu coroană dentară din zirconiu la LLL Dental:

  • Aspect natural, stabil în timp – zirconiul nu se decolorează și își păstrează transluciditatea pe termen lung.
  • Rezistență ridicată la forțele masticatorii – materialul rezistă la fisurare, ceea ce îl face potrivit inclusiv pentru zonele laterale.
  • Soluții pentru cazuri complexe – de la un singur dinte la restaurări complete de arcadă, inclusiv pe implanturi.
  • Laborator propriu, în cadrul clinicii – controlăm fiecare etapă, de la design la finalizare, fără intermediari.
despre coroanele dentare din zirconiu
vezi video
Video

Vezi când recomandăm coroanele din zirconiu la Clinica LLL Dental

Urmărește video-ul și descoperă de ce zirconiul este una dintre cele mai rezistente opțiuni pentru restaurarea dinților. Află cum îmbinăm durabilitatea necesară (mai ales pentru zonele laterale) cu o estetică naturală, pentru o dantură funcțională pe termen lung.

Ce este coroana dentară din zirconiu?

Coroana dentară din zirconiu este o restaurare protetică realizată din oxid de zirconiu, un material ceramic utilizat pentru refacerea formei și funcției unui dinte afectat. Coroana acoperă partea vizibilă a dintelui și este realizată în laborator pe baza datelor obținute în timpul consultației și al amprentării dentare.

Avantajele coroanelor din zirconiu

Avantajele dinților din zirconiu sunt legate în principal de proprietățile materialului și de modul în care acestea sunt realizate în laboratorul dentar:

Rezistență ridicată la forțele masticatorii

Materialul rezistă la fisurare, fiind potrivit inclusiv pentru zonele laterale, unde solicitarea este mare.

Aspect estetic apropiat de dintele natural

Zirconiul reproduce forma și culoarea dintelui natural pentru o integrare armonioasă.

Biocompatibilitate cu țesuturile gingivale

Materialul este bine tolerat de gingie și nu provoacă iritații ale țesutului adiacent.

Stabilitate a culorii în timp

Zirconiul nu se decolorează și își păstrează aspectul pe termen lung.

Potrivire precisă pe dinte

Realizarea digitală asigură o adaptare exactă a coroanei pe dintele suport.

Păstrarea unei cantități mai mari din dintele natural

Prepararea minim invazivă protejează cât mai mult din structura dentară sănătoasă.

Limitări și posibile complicații ale coroanelor din zirconiu

Ca orice restaurare protetică, coroanele din zirconiu pot prezenta în timp anumite limitări:

  • opacitate mai mare comparativ cu ceramica integrală – în zona frontală, unde transluciditatea e importantă, alte materiale pot oferi un aspect mai natural;
  • ciobirea stratului ceramic – în cazul coroanelor stratificate (zirconiu + ceramică), stratul aplicat se poate ciobi în timp;
  • posibila uzură a dinților opuși – zirconiul este un material dur, iar în absența controalelor periodice, poate afecta dinții cu care vine în contact;

Controalele periodice ne permit să monitorizăm starea coroanei și a dintelui de sub aceasta și să intervenim la timp dacă apar modificări.

Când este indicată coroana de zirconiu?

Coroana dentară din zirconiu poate fi recomandată în mai multe situații clinice, în funcție de planul de tratament stabilit de medic:

  • restaurări în zona posterioară (premolari și molari);
  • restaurări la pacienți cu bruxism sau solicitări ocluzale crescute;
  • restaurări protetice pe implanturi dentare;
  • lucrări protetice extinse (punți dentare sau restaurări pe mai mulți dinți);
  • restaurări în zona frontală, când este necesar un echilibru între estetică și rezistență.

Tipuri de coroane zirconiu

Coroanele dentare din zirconiu pot fi realizate în mai multe variante, în funcție de zona în care sunt utilizate și de obiectivele tratamentului:

Coroană din zirconiu monolitic (integral)

Este realizată dintr-o singură structură de zirconiu, fiind frecvent utilizată în zona posterioară sau în situații în care este nevoie de rezistență mare.

Coroană din zirconiu stratificat cu ceramică

Are un nucleu de zirconiu peste care aplicăm un strat ceramic pentru a obține un aspect mai apropiat de cel al dintelui natural, fiind utilizată mai ales în zona frontală.

aplicare coroana dentara

Etapele tratamentului cu coroane de zirconiu la LLL Dental

Aplicarea unei coroane din zirconiu presupune câteva etape realizate în cabinet și în laboratorul dentar.

Pașii tratamentului

1

Consultația și planul de tratament

În cadrul consultației evaluăm situația clinică și stabilim dacă o coroană din zirconiu este soluția potrivită. În anumite cazuri realizăm și o planificare estetică digitală.

2

Pregătirea dintelui

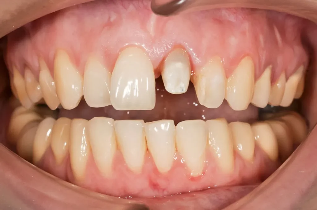
Pregătim dintele printr-o șlefuire minim invazivă, astfel încât coroana să se poată adapta corect.

3

Amprentarea sau scanarea digitală

Realizăm o scanare digitală sau o amprentă dentară pe baza căreia este proiectată coroana.

4

Aplicarea coroanei provizorii

Până la finalizarea lucrării definitive, aplicăm o coroană provizorie pentru protecția dintelui.

5

Realizarea și cimentarea coroanei definitive

Proiectăm coroana digital și o realizăm prin tehnologie CAD-CAM în laboratorul nostru, apoi o probăm și o cimentăm definitiv.

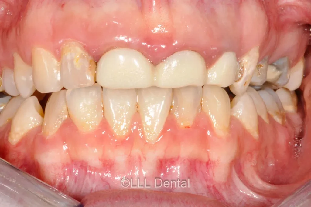
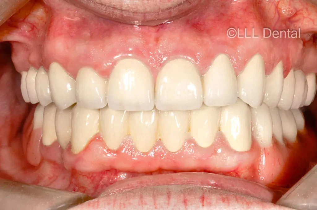
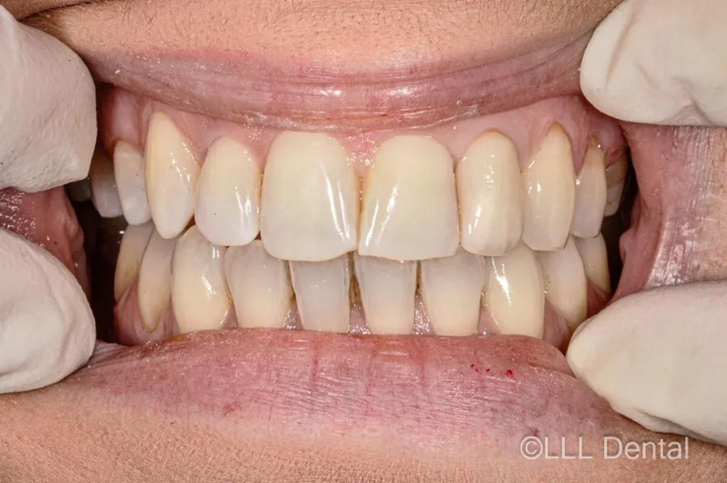
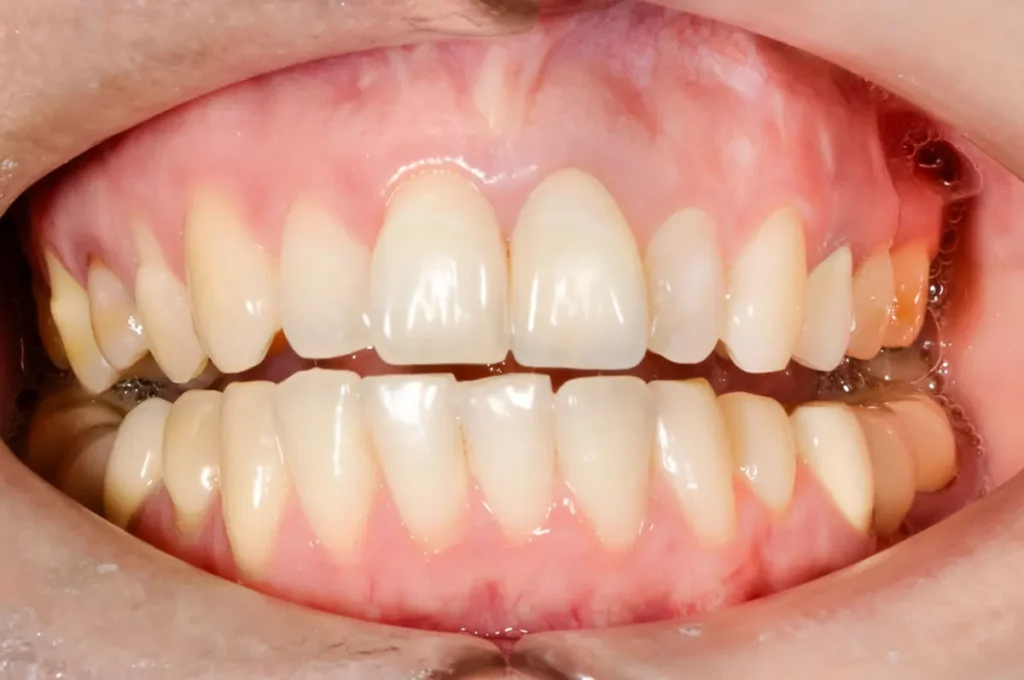
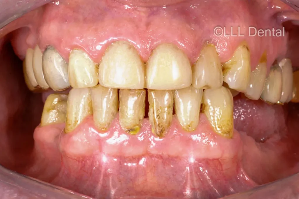
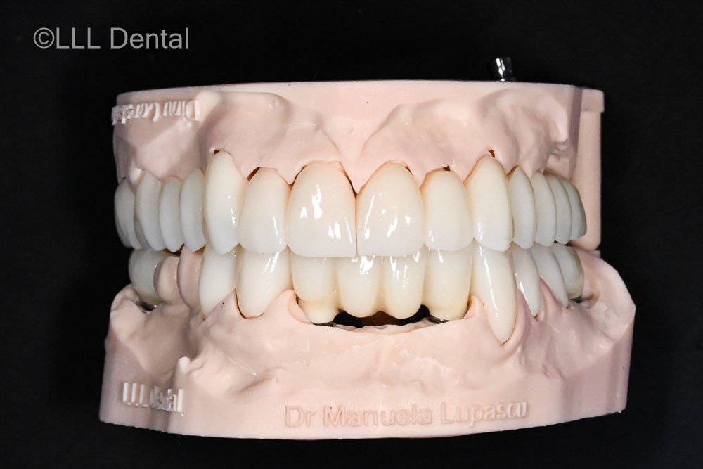
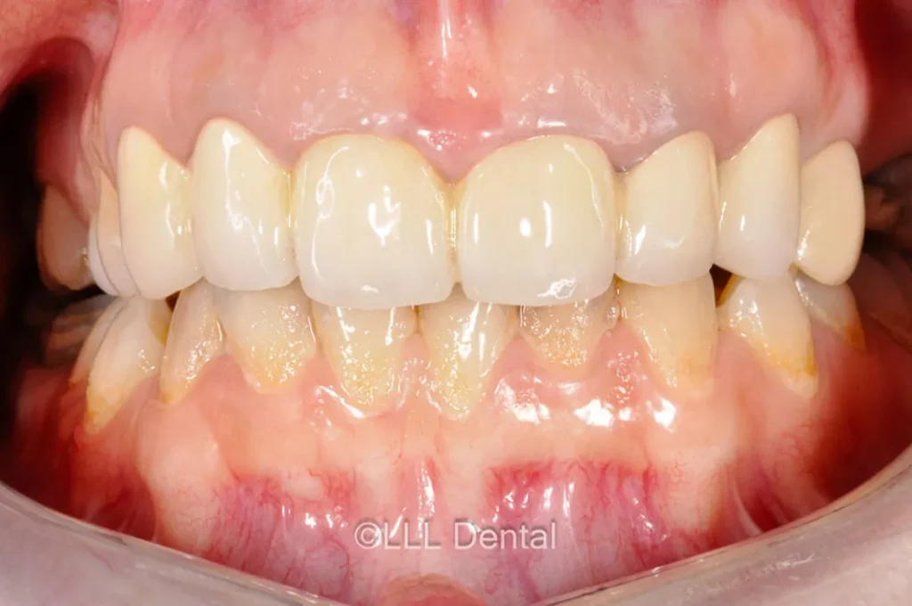
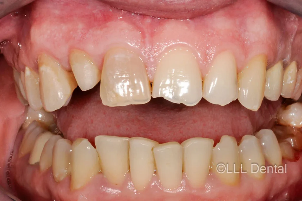
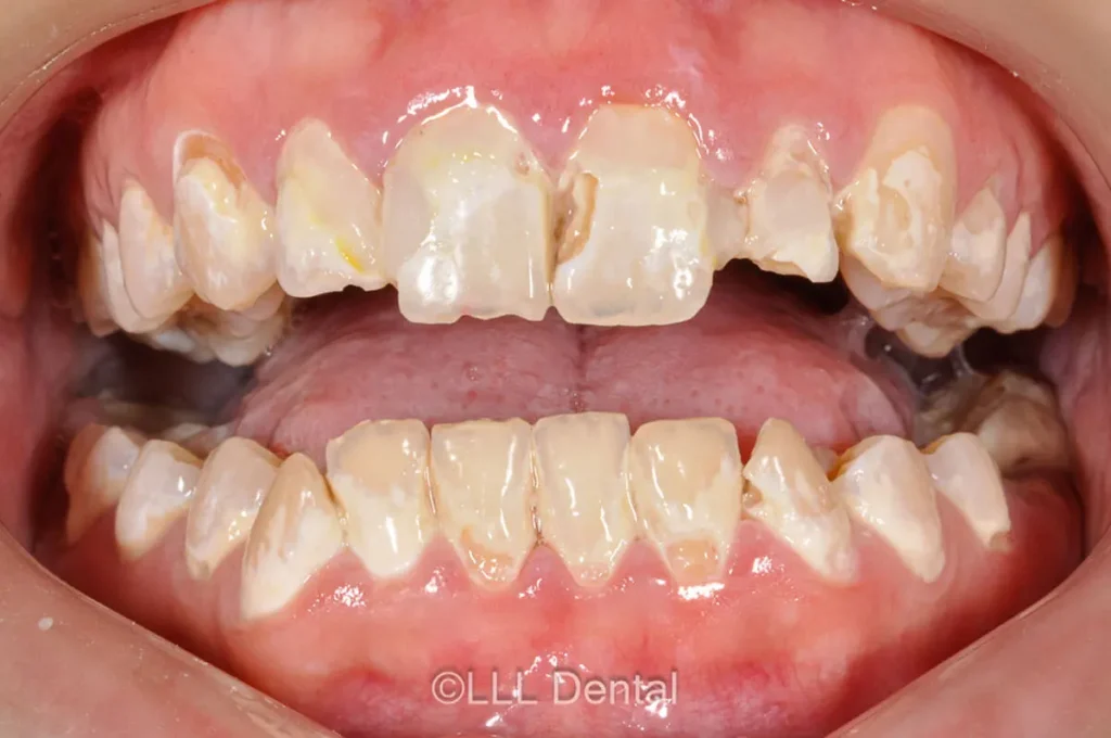
Cazuri reale tratate cu coroane din zirconiu la LLL Dental

before
before
after
after
before
before
after
after
before
before
after
after
before
before
after
after
before
before
after
after
before
before
after
after
before
before
after
after
before
before
after
after
before
before
after
after
before
before
after
after
before
before
after
after
before
before
after
after

Cât costă o coroană dentară din zirconiu la LLL Dental?

Mulți pacienți se întreabă cât costă o coroană din zirconiu. Trebuie să știi că prețul pentru o coroană de zirconiu este influențat de tipul lucrării și de suportul pe care este realizată: pe dinte natural sau pe implant.

Poți vedea prețurile LLL Dental pentru coroanele din zirconiu și pentru restaurările protetice care conțin zirconiu în tabelul de mai jos.

În unele situații se folosesc și coroane hibride zirconiu-titan, unde partea vizibilă este realizată din zirconiu, iar baza de titan asigură o conexiune stabilă cu implantul și o rezistență mai bună la forțele de masticație.

Pentru a facilita accesul la tratament, anumite lucrări pot fi achitate în 2 până la 12 rate lunare prin card de credit UniCredit, fără dobândă. În cazul tratamentelor care se desfășoară în mai multe etape, este posibilă și plata eșalonată, corelată cu etapele medicale realizate.

Prețuri Coroane zirconiu

Coroana metaloceramica GC1.500 RON
Coroana zirconiu2000 RON
Coroana ceramica integrala IPS e.max®2000 RON
Coroana ceramica pe suport de zirconiu2000 RON
Coroana zirconiu pe implant2.200 RON
Coroana ceramica integrala IPS e.max® pe implant2.200 RON
Coroana ceramica pe suport de zirconiu pe implant2.200 RON
Coroana metaloceramica GC pe implant1.800 RON
Coroana hybrid zirconiu/titan pe implant2.900 RON
Coroana hybrid zirconiu/titan2.400 RON
Coroana provizorie in cabinet150 RON
Coroana provizorie PMMA CAD-CAM400 RON
Coroana provizorie PMMA CAD-CAM pe implant500 RON
Coroana provizorie metalo-ceramica800 RON
Fateta dentara IPS e.max® Ceram (High Esthetics)2.200 RON
Fateta dentara zirconiu (High Esthetics)2.200 RON
Fateta provizorie150 RON
Pivot zirconiu CAD-CAM1000 RON
Pivot metalic500 RON
Pivot fibra de sticla (tip Cytec)450 RON
RB/WB Variobase® Straumann800 RON
RB/WB Screw-retained Abutment Straumann1000 RON
Baza de Titan ZrGen Megagen800 RON
Bont Rc Base Megagen1000 RON
Baza de Titan JD Evolution+750 RON
Bont Multi Unit JD Evolution+750 RON
Bont personalizat zirconiu pe implant1.000 RON
Bont personalizat titan pe implant1.000 RON
Incrustatie IPS e.max® Ceram (High Esthetics)1.600 RON
Incrustatie zirconiu (High Esthetics)1.600 RON
Ablatie (indepartare) lucrare veche (pe stalp)300 RON
Ablatie (indepartare) pivot metalic500 RON
Ablatie (indepartare) pivot dentatus250 RON
Ablatie (indepartare) pivot fibra de sticla300 RON
Proteza acrilica4.000 RON
Proteza scheletata cu sisteme speciale de prindere ( capse, culise etc. )8.000 RON
Proteza scheletata cu sisteme speciale de prindere ( capse, culise etc. ) pe implant12.000 RON
Reparatie proteza500 RON
Cimentare periodica (pe fiecare dinte stalp)150 RON
Cimentare definitiva (pe fiecare dinte stalp)200 RON
Cimentare definitiva capa lucrare pe implant insurubata200 RON
Gutiera bruxism350 RON

Dacă ai întrebări despre coroanele din zirconiu sau despre costurile tratamentului, le putem discuta în cadrul unei consultații personalizate, în care analizăm situația ta și opțiunile potrivite.

Coroana din zirconiu vs. alte coroane dentare

Alegerea unei coroane dentare este influențată și de materialul utilizat. În cadrul consultației analizăm diferențele dintre coroana din zirconiu și alte materiale protetice, inclusiv opțiunea E-max sau zirconiu, pentru a stabili împreună care poate fi cel mai bun material pentru dinți în cazul tău.

Rezistență

Zirconiul oferă o rezistență foarte mare, metalo-ceramica o rezistență mare, iar ceramica E-max o rezistență medie.

Estetică

Aspectul este foarte bun la zirconiu, bun la metalo-ceramică și excelent la ceramica E-max, care imită cel mai fidel dintele natural.

Durabilitate

Zirconiul are o durabilitate foarte ridicată, în timp ce metalo-ceramica și ceramica E-max oferă o durabilitate bună.

Șlefuirea dintelui

Prepararea dintelui este moderată în cazul zirconiului și al ceramicii E-max, dar mai mare în cazul metalo-ceramicii.

Cum se îngrijesc coroanele din zirconiu?

Coroanele din zirconiu se îngrijesc similar dinților naturali. Igiena corectă și controalele periodice sunt importante pentru menținerea sănătății dintelui suport și a gingiei.

  • periaj dentar de cel puțin două ori pe zi, cu curățarea spațiilor dintre dinți folosind ață dentară sau periuțe interdentare;
  • curățarea atentă a zonei dintre coroană și gingie pentru a preveni acumularea plăcii bacteriene;
  • evitarea alimentelor foarte dure pe zona restaurată în primele 24 de ore după cimentare;
  • utilizarea unei gutiere de noapte dacă există obiceiul de a scrâșni sau încleșta dinții;
  • controale stomatologice periodice pentru igienizare profesională și verificarea coroanei.

Echipa medicală multidisciplinară LLL Dental

Dr. Manuela Lupascu

Dr. Manuela Lupaşcu

Detalii
dr. claudiu lupascu

Dr. Claudiu Lupaşcu

Detalii
Mihaela Lemnrău

Dr. Mihaela Lemnrău

Detalii
Teodora Damcalescu

Dr. Teodora Damcalescu

Detalii
dr haralambie vlas

Dr. Haralambie Vlas

Detalii
roxana gheorghe

Dr. Roxana Radocea

Detalii
magda ivanescu

Magdalena Ivanescu

Detalii

De ce să alegi LLL Dental pentru tratamentul cu coroană dentară din zirconiu?

Pentru că la noi găsești:

  • o echipă cu experiență specifică în restaurări protetice din zirconiu, pe dinți naturali și pe implanturi;
  • 3 generații de experiență în protetică și estetică dentară;
  • tehnologie modernă și estetică ghidată digital (DSD, CAD/CAM);
  • laborator de tehnica dentară propriu, sub controlul direct al medicului;
  • implicarea maestrului tehnician în fazele esențiale ale lucrării, direct în cabinet;
  • materiale estetice, originale și validate în timp;
  • tratamente rapide și eficiente, esențiale pentru pacienții din țară, diaspora și pentru turismul medical dentar;
  • o experiență confortabilă, cu anestezie locală și atenție la reducerea disconfortului;
  • respectarea conceptului One Stop Dentistry: toate etapele, de la diagnostic până la lucrarea finală, sunt realizate în clinica noastră.

Programează o consultație și află care este soluția protetică potrivită pentru tine.

Recenzii

Vezi experiențele pacienților

Întrebări frecvente

Cât timp rezistă o coroană dentară din zirconiu?

Coroanele din zirconiu sunt cunoscute pentru durabilitatea lor. Îngrijite corespunzător, coroanele din zirconiu pot rezista până la 15 ani. Longevitatea depinde de igiena orală, de controalele periodice și de factori precum bruxismul sau starea dintelui suport [1].

Este dureroasă aplicarea unei coroane din zirconiu?

Procedura nu este, în mod normal, dureroasă deoarece se realizează cu anestezie locală. După pregătirea dintelui pot apărea sensibilități ușoare pentru o perioadă scurtă, dar acestea dispar de obicei rapid.

De ce este mai mare prețul unui dinte din zirconiu comparativ cu alte materiale?

Prețul pentru o coroană de zirconiu este influențat de materialul utilizat și de tehnologia necesară realizării lucrării. Coroanele sunt proiectate și frezate digital pentru o adaptare foarte precisă, iar realizarea lor implică atât echipamente specializate, cât și colaborarea dintre medic și tehnicianul dentar.

O coroană din zirconiu arată la fel ca un dinte natural?

Coroanele din zirconiu sunt concepute pentru a imita aspectul natural al dinților. Materialul permite o estetică foarte apropiată de cea a smalțului, iar culoarea este adaptată pentru a se integra armonios cu restul dinților tăi.

Se poate pune o coroană din zirconiu pe un implant dentar?

Da. Coroanele din zirconiu sunt frecvent utilizate pentru restaurările pe implanturi datorită rezistenței și biocompatibilității materialului. Acestea pot oferi atât stabilitate funcțională, cât și un rezultat estetic natural.

Bibliografie

[1] Prause, E., Hey, J., Sterzenbach, G., Beuer, F., & Adali, U. (2023). Survival and success of veneered zirconia crowns. International Journal of Computerized Dentistry, 26(3), 247–255. https://doi.org/10.3290/j.ijcd.b3796761

Programează-te la Clinica LLL Dental

Te poți programa la 0728.320.700 sau completând unul dintre formulare:

consultatie dinti ficsi in 24 de ore
Prima oară la LLL?

Programează un consult inițial complet

  • evaluare integrală + plan de tratament – 200 RON
  • radiografii – 120 RON (doar dacă este cazul)
Programează-te la un specialist
Ai o problemă punctuală?

Programează-te la un specialist

Ne comunici problema, iar consilierul nostru te va îndruma către medicul potrivit și îți va da toate detaliile telefonic, înainte de programare.

Nou pe blog